Antibody data
- Antibody Data
- Antigen structure
- References [0]
- Comments [0]
- Validations
- Immunohistochemistry [6]
Submit
Validation data
Reference
Comment
Report error
- Product number
- NLS1595 - Provider product page

- Provider
- Novus Biologicals
- Proper citation
- Novus Cat#NLS1595, RRID:AB_2103332
- Product name
- Rabbit Polyclonal FFAR1/GPR40 Antibody
- Antibody type
- Polyclonal
- Description
- Immunogen affinity purified. Human GPR40. BLAST analysis of the peptide immunogen showed no homology with other human proteins.
- Reactivity
- Human, Simian
- Host
- Rabbit
- Isotype
- IgG
- Vial size
- 0.05 ml
- Concentration
- 1.0 mg/ml
- Storage
- Store at 4C short term. Aliquot and store at -20C long term. Avoid freeze-thaw cycles.
No comments: Submit comment
Supportive validation
- Submitted by
- Novus Biologicals (provider)
- Main image

- Experimental details
- Immunohistochemistry-Paraffin: FFAR1/GPR40 Antibody [NLS1595] - Analysis of anti-FFAR1 / GPR40 antibody with human pancreas, carcinoma.
- Submitted by
- Novus Biologicals (provider)
- Main image

- Experimental details
- Immunohistochemistry-Paraffin: FFAR1/GPR40 Antibody [NLS1595] - IHC analysis of brain (neurons) using this antibody at 9 ug/ ml.
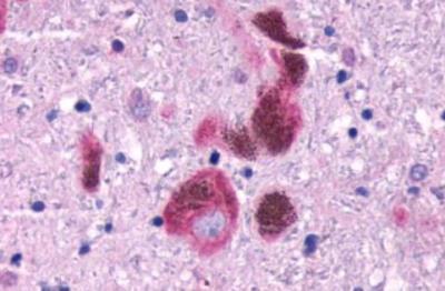
- Submitted by
- Novus Biologicals (provider)
- Main image

- Experimental details
- Immunohistochemistry-Paraffin: FFAR1/GPR40 Antibody [NLS1595] - Human uterus of formalin-fixed, paraffin-embedded tissue after heat-induced antigen retrieval.
- Submitted by
- Novus Biologicals (provider)
- Main image

- Experimental details
- Immunohistochemistry-Paraffin: FFAR1/GPR40 Antibody [NLS1595] - Brain, Cortex
- Submitted by
- Novus Biologicals (provider)
- Main image

- Experimental details
- Immunohistochemistry-Paraffin: FFAR1/GPR40 Antibody [NLS1595] - Brain, Parkinson's Disease
- Submitted by
- Novus Biologicals (provider)
- Main image

- Experimental details
- Immunohistochemistry-Paraffin: FFAR1/GPR40 Antibody [NLS1595] - Human Pancreas, Carcinoma tissue after heat-induced antigen retrieval.