Antibody data
- Antibody Data
- Antigen structure
- References [1]
- Comments [0]
- Validations
- Immunohistochemistry [1]
Submit
Validation data
Reference
Comment
Report error
- Product number
- PB9927 - Provider product page

- Provider
- Boster Biological Technology
- Product name
- Anti-TCP1 delta/CCT4 Antibody Picoband™
- Antibody type
- Polyclonal
- Description
- Polyclonal antibody for TCP1 DELTA/CCT4 detection. Host: Rabbit.Size: 100μg/vial. Tested applications: WB, IHC-P, IHC-F, ICC/IF, FCM. Reactive species: Human. TCP1 DELTA/CCT4 information: Molecular Weight: 57924 MW; Subcellular Localization: Cytoplasm . Melanosome . Cytoplasm, cytoskeleton, microtubule organizing center, centrosome . Cytoplasm, cytoskeleton, cilium basal body . Identified by mass spectrometry in melanosome fractions from stage I to stage IV.
- Reactivity
- Human, Mouse, Rat
- Host
- Rabbit
- Vial size
- 100μg/vial
- Concentration
- Add 0.2ml of distilled water will yield a concentration of 500ug/ml.
- Storage
- At -20°C for one year. After reconstitution, at 4°C for one month. It can also be aliquoted and stored frozen at -20°C for a longer time. Avoid repeated freezing and thawing.
- Handling
- Add 0.2ml of distilled water will yield a concentration of 500ug/ml.
Submitted references Denatured corona proteins mediate the intracellular bioactivities of nanoparticles via the unfolded protein response.
Liu S, Wang Z, Jiang X, Gan J, Tian X, Xing Z, Yan Y, Chen J, Zhang J, Wang C, Dong L
Biomaterials 2021 Jan;265:120452
Biomaterials 2021 Jan;265:120452
No comments: Submit comment
Supportive validation
- Submitted by
- Boster Biological Technology (provider)
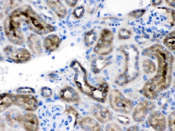
- Main image

- Experimental details
- IHC analysis of CCT4 using anti- CCT4 antibody (PB9927). CCT4 was detected in paraffin-embedded section of mouse kidney tissues. Heat mediated antigen retrieval was performed in citrate buffer (pH6, epitope retrieval solution) for 20 mins. The tissue section was blocked with 10% goat serum. The tissue section was then incubated with 1μg/ml rabbit anti- CCT4 Antibody (PB9927) overnight at 4°C. Biotinylated goat anti-rabbit IgG was used as secondary antibody and incubated for 30 minutes at 37°C. The tissue section was developed using Strepavidin-Biotin-Complex (SABC)(Catalog # SA1022) with DAB as the chromogen.
- Additional image
