Antibody data
- Antibody Data
- Antigen structure
- References [0]
- Comments [0]
- Validations
- Western blot [1]
- Immunocytochemistry [1]
- Immunohistochemistry [2]
Submit
Validation data
Reference
Comment
Report error
- Product number
- GTX110197 - Provider product page

- Provider
- GeneTex
- Proper citation
- GeneTex Cat#GTX110197, RRID:AB_1951231
- Product name
- PIGR antibody [N2C1], Internal
- Antibody type
- Polyclonal
- Reactivity
- Human
- Host
- Rabbit
No comments: Submit comment
Supportive validation
- Submitted by
- GeneTex (provider)
- Main image

- Experimental details
- Sample (30 ?g of whole cell lysate) A: Molt-4 (GTX27912) 7.5% SDS PAGE GTX110197 diluted at 1:1000The HRP-conjugated anti-rabbit IgG antibody (GTX213110-01) was used to detect the primary antibody.
Supportive validation
- Submitted by
- GeneTex (provider)
- Main image

- Experimental details
- Immunofluorescence analysis of methanol-fixed HepG2, using PIGR(GTX110197) antibody at 1:200 dilution.
Supportive validation
- Submitted by
- GeneTex (provider)
- Main image

- Experimental details
- Immunohistochemical analysis of paraffin-embedded Cal27 xenograft , using PIGR(GTX110197) antibody at 1:500 dilution.
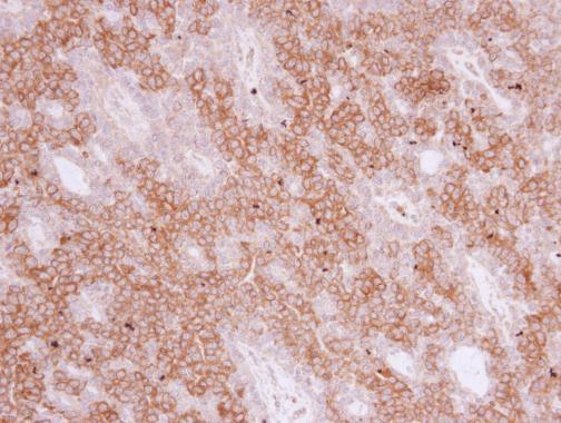
- Submitted by
- GeneTex (provider)
- Main image

- Experimental details
- PIGR antibody [N2C1], Internal detects PIGR protein at cell membrane in human lung adenocarcinoma by immunohistochemical analysis. Sample: Paraffin-embedded human lung adenocarcinoma. PIGR antibody [N2C1], Internal (GTX110197) diluted at 1:500.