Antibody data
- Antibody Data
- Antigen structure
- References [0]
- Comments [0]
- Validations
- Western blot [1]
- Immunocytochemistry [1]
- Immunohistochemistry [2]
- Flow cytometry [1]
Submit
Validation data
Reference
Comment
Report error
- Product number
- TA325046 - Provider product page

- Provider
- OriGene
- Product name
- Rabbit polyclonal PIGR Antibody (C-term)
- Antibody type
- Polyclonal
- Description
- Rabbit polyclonal PIGR Antibody (C-term)
- Host
- Rabbit
- Conjugate
- Unconjugated
- Epitope
- PIGR
- Isotype
- IgG
- Antibody clone number
- NULL
- Vial size
- 400 µl
- Concentration
- 0.5 mg/ml
No comments: Submit comment
Supportive validation
- Submitted by
- OriGene (provider)
- Main image

- Experimental details
- Western blot analysis of PIGR Antibody (C-term) (Cat. #TA325046) in HepG2(lane 1),K562(lane 2),HL-60(lane 3) cell line lysates (35ug/lane).PIGR (arrow) was detected using the purified Pab.
- Validation comment
- WB
Supportive validation
- Submitted by
- OriGene (provider)
- Main image

- Experimental details
- Confocal immunofluorescent analysis of PIGR Antibody (C-term) (Cat#TA325046) with HepG2 cell followed by Alexa Fluor 488-conjugated goat anti-rabbit lgG (green). DAPI was used to stain the cell nuclear (blue).
- Validation comment
- IF
Supportive validation
- Submitted by
- OriGene (provider)
- Main image

- Experimental details
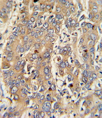
- Formalin-fixed and paraffin-embedded human hepatocarcinoma with PIGR Antibody (C-term), which was peroxidase-conjugated to the secondary antibody, followed by DAB staining. This data demonstrates the use of this antibody for immunohistochemistry; clinical relevance has not been evaluated.
- Validation comment
- IHC
- Submitted by
- OriGene (provider)
- Main image

- Experimental details
- PIGR Antibody (C-term) (Cat. #TA325046)immunohistochemistry analysis in formalin fixed and paraffin embedded human colon tissue followed by peroxidase conjugation of the secondary antibody and DAB staining.This data demonstrates the use of PIGR Antibody (C-term) for immunohistochemistry. Clinical relevance has not been evaluated.
- Validation comment
- IHC
Supportive validation
- Submitted by
- OriGene (provider)
- Main image

- Experimental details
- Flow cytometric analysis of HepG2 cells using PIGR Antibody (C-term)(bottom histogram) compared to a negative control cell (top histogram). FITC-conjugated goat-anti-rabbit secondary antibodies were used for the analysis.
- Validation comment
- FC