Antibody data
- Antibody Data
- Antigen structure
- References [0]
- Comments [0]
- Validations
- Western blot [1]
- Immunocytochemistry [2]
- Immunohistochemistry [2]
Submit
Validation data
Reference
Comment
Report error
- Product number
- MA5-37944 - Provider product page

- Provider
- Invitrogen Antibodies
- Product name
- CTRL Recombinant Rabbit Monoclonal Antibody (10Z4K3)
- Antibody type
- Monoclonal
- Antigen
- Synthetic peptide
- Description
- Positive Samples: Mouse pancreas, Rat pancreas Immunogen sequence: GVGNVTPAHL QQVALPLVTV NQCRQYWGSS ITDSMICAGG AGASSCQGDS GGPLVCQKGN TWVLIGIVSW GTKNCNVRAP AVYTRVSKFS TWINQVIAYN
- Reactivity
- Human, Mouse, Rat
- Host
- Rabbit
- Isotype
- IgG
- Antibody clone number
- 10Z4K3
- Vial size
- 100 μL
- Concentration
- 0.3 mg/mL
- Storage
- -20°C, Avoid Freeze/Thaw Cycles
No comments: Submit comment
Supportive validation
- Submitted by
- Invitrogen Antibodies (provider)
- Main image

- Experimental details
- Western blot analysis of CTRL in extracts of various cell lines. Samples were incubated with CTRL Monoclonal antibody (Product # MA5-37944) using a dilution of 1:5,000, followed by HRP Goat Anti-Rabbit IgG (H+L) at a dilution of 1:10,000. Lysates/proteins: 25 µg per lane. Blocking buffer: 3% nonfat dry milk in TBST. Detection: ECL Basic Kit. Exposure time: 1s.
Supportive validation
- Submitted by
- Invitrogen Antibodies (provider)
- Main image

- Experimental details
- Immunofluorescence analysis of CTRL in rat pancreas cells. Samples were incubated with CTRL Monoclonal antibody (Product # MA5-37944) using a dilution of 1:100 (40x lens). Blue: DAPI for nuclear staining.
- Submitted by
- Invitrogen Antibodies (provider)
- Main image

- Experimental details
- Immunofluorescence analysis of CTRL in mouse pancreas cells. Samples were incubated with CTRL Monoclonal antibody (Product # MA5-37944) using a dilution of 1:100 (40x lens). Blue: DAPI for nuclear staining.
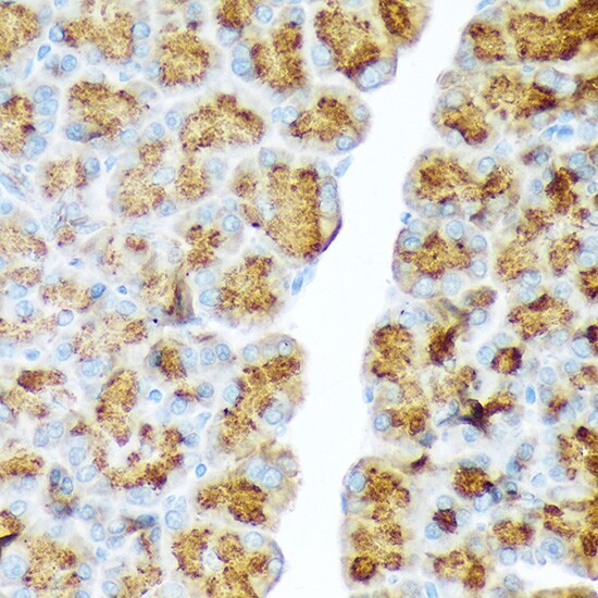
Supportive validation
- Submitted by
- Invitrogen Antibodies (provider)
- Main image

- Experimental details
- Immunohistochemistry analysis of CTRL in paraffin-embedded rat pancreas. Samples were incubated with CTRL Monoclonal antibody (Product # MA5-37944) using a dilution of 1:100 (40x lens). Perform microwave antigen retrieval with 10 mM Tris/EDTA buffer pH 9.0 before commencing with IHC staining protocol.
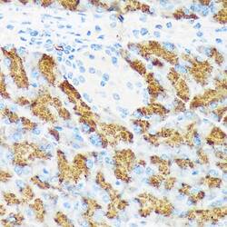
- Submitted by
- Invitrogen Antibodies (provider)
- Main image

- Experimental details
- Immunohistochemistry analysis of CTRL in paraffin-embedded mouse pancreas. Samples were incubated with CTRL Monoclonal antibody (Product # MA5-37944) using a dilution of 1:100 (40x lens). Perform microwave antigen retrieval with 10 mM Tris/EDTA buffer pH 9.0 before commencing with IHC staining protocol.