Antibody data
- Antibody Data
- Antigen structure
- References [0]
- Comments [0]
- Validations
- Western blot [1]
- ELISA [1]
- Immunohistochemistry [2]
- Flow cytometry [1]
Submit
Validation data
Reference
Comment
Report error
- Product number
- NBP2-37514 - Provider product page

- Provider
- Novus Biologicals
- Product name
- Mouse Monoclonal PBK Antibody
- Antibody type
- Monoclonal
- Description
- Unpurified.
- Reactivity
- Human
- Host
- Mouse
- Isotype
- IgG
- Vial size
- 0.1 ml
- Storage
- Store at 4C short term. Aliquot and store at -20C long term. Avoid freeze-thaw cycles.
No comments: Submit comment
Supportive validation
- Submitted by
- Novus Biologicals (provider)
- Main image

- Experimental details
- Western Blot: PBK Antibody (2C8) [NBP2-37514] - Western blot analysis using PBK mAb against human PBK (AA: 50-230) recombinant protein. (Expected MW is 45.8 kDa)
Supportive validation
- Submitted by
- Novus Biologicals (provider)
- Main image

- Experimental details
- ELISA: PBK Antibody (2C8) [NBP2-37514] - Red: Control Antigen (100ng); Purple: Antigen (10ng); Green: Antigen (50ng); Blue: Antigen (100ng);
Supportive validation
- Submitted by
- Novus Biologicals (provider)
- Main image

- Experimental details
- Immunohistochemistry: PBK Antibody (2C8) [NBP2-37514] - Immunohistochemical analysis of paraffin-embedded ovarian cancer tissues using PBK mouse mAb with DAB staining.
- Submitted by
- Novus Biologicals (provider)
- Main image

- Experimental details
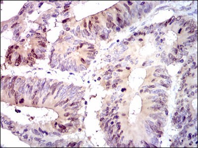
- Immunohistochemistry: PBK Antibody (2C8) [NBP2-37514] - Immunohistochemical analysis of paraffin-embedded colon cancer tissues using PBK mouse mAb with DAB staining.
Supportive validation
- Submitted by
- Novus Biologicals (provider)
- Main image

- Experimental details
- Flow Cytometry: PBK Antibody (2C8) [NBP2-37514] - Flow cytometric analysis of Hela cells using PBK mouse mAb (green) and negative control (red).