Antibody data
- Antibody Data
- Antigen structure
- References [0]
- Comments [0]
- Validations
- Western blot [1]
- Immunocytochemistry [1]
- Immunohistochemistry [1]
- Flow cytometry [1]
Submit
Validation data
Reference
Comment
Report error
- Product number
- AM06733SU-N - Provider product page

- Provider
- OriGene
- Product name
- PBK mouse monoclonal antibody, clone 2C8, Ascites
- Antibody type
- Monoclonal
- Description
- PBK mouse monoclonal antibody, clone 2C8, Ascites
- Host
- Mouse
- Conjugate
- Unconjugated
- Epitope
- PBK
- Isotype
- IgG
- Antibody clone number
- 2C8
- Vial size
- 100 µl
No comments: Submit comment
Supportive validation
- Submitted by
- OriGene (provider)
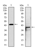
- Main image

- Experimental details
- Western blot analysis using PBK antibody Cat.-No AM06733SU-N against Human PBK (AA: 50-230) recombinant protein (left) and against A431 (1) cell lysate (right).
- Validation comment
- WB
Supportive validation
- Submitted by
- OriGene (provider)
- Main image

- Experimental details
- Immunofluorescence analysis of Hela cells using PBK antibody Cat.-No AM06733SU-N (green). Blue: DRAQ5 fluorescent DNA dye. Red: Actin filaments have been labeled with Alexa Fluor-555 phalloidin.
- Validation comment
- IF
Supportive validation
- Submitted by
- OriGene (provider)
- Main image

- Experimental details
- Immunohistochemical analysis of paraffin-embedded colon cancer tissues (left) and ovarian cancer tissues (right) using PBK antibody Cat.-No AM06733SU-N with DAB staining.
- Validation comment
- IHC
Supportive validation
- Submitted by
- OriGene (provider)
- Main image

- Experimental details
- Flow Cytometric analysis of Hela cells using PBK antibody Cat.-No AM06733SU-N (green) and negative control (red).
- Validation comment
- FC