Antibody data
- Antibody Data
- Antigen structure
- References [2]
- Comments [0]
- Validations
- Western blot [1]
- Immunohistochemistry [3]
Submit
Validation data
Reference
Comment
Report error
- Product number
- NBP1-83591 - Provider product page

- Provider
- Novus Biologicals
- Proper citation
- Novus Cat#NBP1-83591, RRID:AB_11014785
- Product name
- Rabbit Polyclonal CEP97 Antibody
- Antibody type
- Polyclonal
- Description
- Immunogen affinity purified. Specificity of human CEP97 antibody verified on a Protein Array containing target protein plus 383 other non-specific proteins.
- Reactivity
- Human
- Host
- Rabbit
- Isotype
- IgG
- Vial size
- 0.1 ml
- Storage
- Store at 4C short term. Aliquot and store at -20C long term. Avoid freeze-thaw cycles.
Submitted references CCDC41 is required for ciliary vesicle docking to the mother centriole.
miR-129-3p controls cilia assembly by regulating CP110 and actin dynamics.
Joo K, Kim CG, Lee MS, Moon HY, Lee SH, Kim MJ, Kweon HS, Park WY, Kim CH, Gleeson JG, Kim J
Proceedings of the National Academy of Sciences of the United States of America 2013 Apr 9;110(15):5987-92
Proceedings of the National Academy of Sciences of the United States of America 2013 Apr 9;110(15):5987-92
miR-129-3p controls cilia assembly by regulating CP110 and actin dynamics.
Cao J, Shen Y, Zhu L, Xu Y, Zhou Y, Wu Z, Li Y, Yan X, Zhu X
Nature cell biology 2012 Jun 10;14(7):697-706
Nature cell biology 2012 Jun 10;14(7):697-706
No comments: Submit comment
Supportive validation
- Submitted by
- Novus Biologicals (provider)
- Main image

- Experimental details
- Western Blot: CEP97 Antibody [NBP1-83591] - Lane 1: Marker [kDa] 220, 112, 84, 47, 32, 26, 17. Lane 2: Human cell line RT-4. Lane 3: Human cell line U-251MG sp
Supportive validation
- Submitted by
- Novus Biologicals (provider)
- Main image

- Experimental details
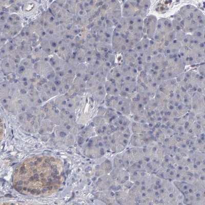
- Immunohistochemistry-Paraffin: CEP97 Antibody [NBP1-83591] - Staining of human pancreas shows low expression as expected.
- Submitted by
- Novus Biologicals (provider)
- Main image

- Experimental details
- Immunohistochemistry-Paraffin: CEP97 Antibody [NBP1-83591] - Staining of human testis shows high expression.
- Submitted by
- Novus Biologicals (provider)
- Main image

- Experimental details
- Immunohistochemistry-Paraffin: CEP97 Antibody [NBP1-83591] - Staining in human testis and pancreas tissues using anti-CEP97 antibody. Corresponding CEP97 RNA-seq data are presented for the same tissues.