Antibody data
- Antibody Data
- Antigen structure
- References [4]
- Comments [0]
- Validations
- Western blot [1]
- ELISA [1]
- Immunocytochemistry [1]
Submit
Validation data
Reference
Comment
Report error
- Product number
- H00057381-M01 - Provider product page

- Provider
- Novus Biologicals
- Proper citation
- Novus Cat#H00057381-M01, RRID:AB_2179421
- Product name
- Mouse Monoclonal RhoJ Antibody
- Antibody type
- Monoclonal
- Description
- IgG purified. RHOJ - ras homolog gene family, member J
- Reactivity
- Human
- Host
- Mouse
- Isotype
- IgG
- Vial size
- 0.1 mg
- Storage
- Aliquot and store at -20C or -80C. Avoid freeze-thaw cycles.
Submitted references Anti-RhoJ antibody functionalized Au@I nanoparticles as CT-guided tumor vessel-targeting radiosensitizers in patient-derived tumor xenograft model.
Rho GTPase RhoJ is Associated with Gastric Cancer Progression and Metastasis.
RhoJ regulates melanoma chemoresistance by suppressing pathways that sense DNA damage.
Sema3E-PlexinD1 signaling selectively suppresses disoriented angiogenesis in ischemic retinopathy in mice.
Liu S, Li H, Xia L, Xu P, Ding Y, Huo D, Hu Y
Biomaterials 2017 Oct;141:1-12
Biomaterials 2017 Oct;141:1-12
Rho GTPase RhoJ is Associated with Gastric Cancer Progression and Metastasis.
Kim C, Yang H, Park I, Chon HJ, Kim JH, Kwon WS, Lee WS, Kim TS, Rha SY
Journal of Cancer 2016;7(11):1550-6
Journal of Cancer 2016;7(11):1550-6
RhoJ regulates melanoma chemoresistance by suppressing pathways that sense DNA damage.
Ho H, Aruri J, Kapadia R, Mehr H, White MA, Ganesan AK
Cancer research 2012 Nov 1;72(21):5516-28
Cancer research 2012 Nov 1;72(21):5516-28
Sema3E-PlexinD1 signaling selectively suppresses disoriented angiogenesis in ischemic retinopathy in mice.
Fukushima Y, Okada M, Kataoka H, Hirashima M, Yoshida Y, Mann F, Gomi F, Nishida K, Nishikawa S, Uemura A
The Journal of clinical investigation 2011 May;121(5):1974-85
The Journal of clinical investigation 2011 May;121(5):1974-85
No comments: Submit comment
Supportive validation
- Submitted by
- Novus Biologicals (provider)
- Main image

- Experimental details
- Western Blot: RhoJ Antibody (1E4) [H00057381-M01] - RHOJ expression in HepG2 ( Cat # L019V1 ).
Supportive validation
- Submitted by
- Novus Biologicals (provider)
- Main image

- Experimental details
- ELISA: RhoJ Antibody (1E4) [H00057381-M01] - Detection limit for recombinant GST tagged RHOJ is approximately 1ng/ml as a capture antibody.
Supportive validation
- Submitted by
- Novus Biologicals (provider)
- Main image

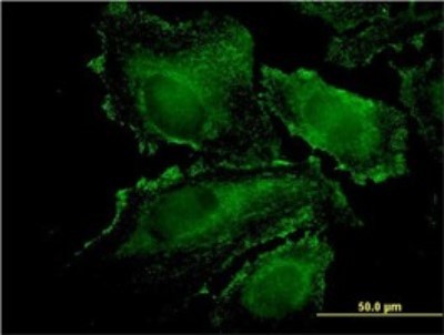
- Experimental details
- Immunocytochemistry/Immunofluorescence: RhoJ Antibody (1E4) [H00057381-M01] - Analysis of monoclonal antibody to RHOJ on HeLa cell. Antibody concentration 60 ug/ml.