Antibody data
- Antibody Data
- Antigen structure
- References [0]
- Comments [0]
- Validations
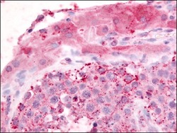
- Immunohistochemistry [1]
Submit
Validation data
Reference
Comment
Report error
- Product number
- AP06928PU-N - Provider product page

- Provider
- Acris Antibodies GmbH
- Proper citation
- Acris Antibodies GmbH Cat#AP06928PU-N, RRID:AB_1616065
- Product name
- anti GPR182 / ADMR
- Antibody type
- Polyclonal
- Antigen
- GPR182 antibody was raised against synthetic peptide from N-terminal domain of human GPR182 / ADMR.
- Reactivity
- Human
- Host
- Rabbit
- Vial size
- 50 µg
- Concentration
- 1.0 mg/ml
No comments: Submit comment
Supportive validation
- Submitted by
- Acris Antibodies GmbH (provider)
- Main image

- Experimental details
- Testis: Formalin-Fixed Paraffin-Embedded (FFPE)