Antibody data
- Antibody Data
- Antigen structure
- References [2]
- Comments [0]
- Validations
- Western blot [1]
- Immunocytochemistry [1]
- Immunohistochemistry [2]
Submit
Validation data
Reference
Comment
Report error
- Product number
- ABIN558375 - Provider product page

- Provider
- antibodies-online
- Product name
- anti-Glutathione S-Transferase kappa 1 (GSTK1) antibody
- Antibody type
- Polyclonal
- Antigen
- Other
- Description
- Aff - Purified
- Reactivity
- Human
- Host
- Rabbit
- Vial size
- 0.1 mL
Submitted references Rac-PAK signaling stimulates extracellular signal-regulated kinase (ERK) activation by regulating formation of MEK1-ERK complexes.
Meaningful relationships: the regulation of the Ras/Raf/MEK/ERK pathway by protein interactions.
Eblen ST, Slack JK, Weber MJ, Catling AD
Molecular and cellular biology 2002 Sep;22(17):6023-33
Molecular and cellular biology 2002 Sep;22(17):6023-33
Meaningful relationships: the regulation of the Ras/Raf/MEK/ERK pathway by protein interactions.
Kolch W
The Biochemical journal 2000 Oct 15;351 Pt 2:289-305
The Biochemical journal 2000 Oct 15;351 Pt 2:289-305
No comments: Submit comment
Supportive validation
- Submitted by
- antibodies-online (provider)
- Main image

- Experimental details
- Image(s): Western Blotting
Supportive validation
- Submitted by
- antibodies-online (provider)
- Main image

- Experimental details
- Image(s): Immunofluorescence
Supportive validation
- Submitted by
- antibodies-online (provider)
- Main image

- Experimental details
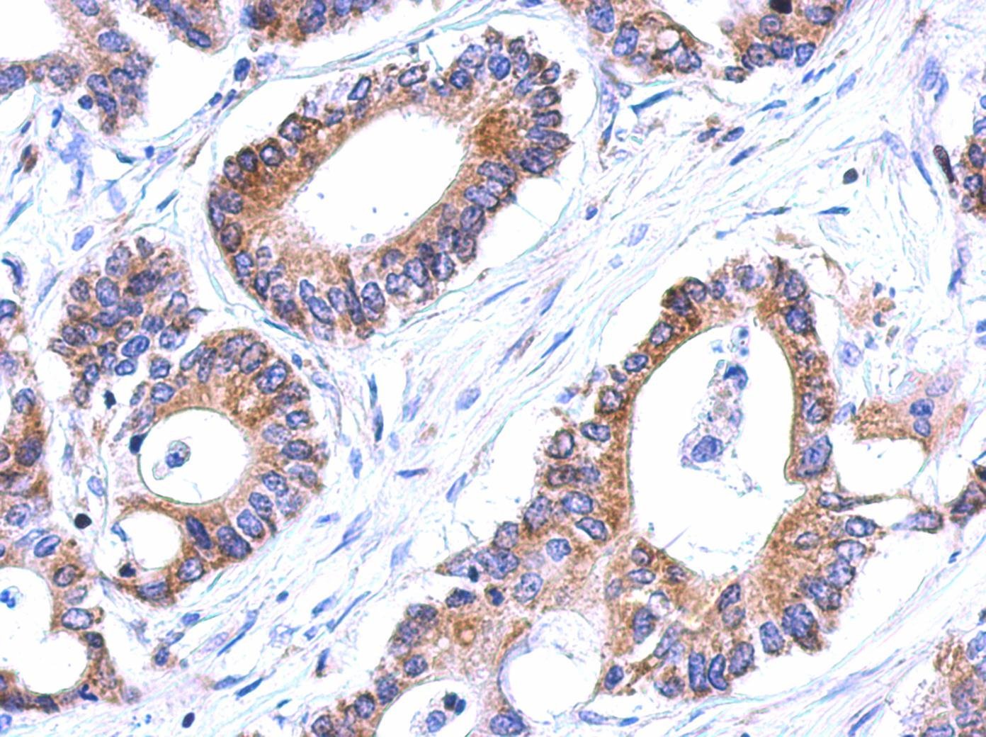
- Image(s): Immunohistochemistry
- Submitted by
- antibodies-online (provider)
- Main image

- Experimental details
- Image(s): Immunohistochemistry