Antibody data
- Antibody Data
- Antigen structure
- References [0]
- Comments [0]
- Validations
- Western blot [2]
- Immunocytochemistry [1]
- Immunohistochemistry [16]
- Other assay [1]
Submit
Validation data
Reference
Comment
Report error
- Product number
- UM500104 - Provider product page

- Provider
- OriGene
- Proper citation
- OriGene Cat#UM500104, RRID:AB_2629114
- Product name
- Galectin 3 (LGALS3) mouse monoclonal antibody,clone UMAB157
- Antibody type
- Monoclonal
- Description
- Galectin 3 (LGALS3) mouse monoclonal antibody,clone UMAB157
- Host
- Mouse
- Conjugate
- Unconjugated
- Epitope
- LGALS3
- Isotype
- IgG
- Antibody clone number
- UMAB157
- Vial size
- 100 µl
- Concentration
- 1.00mg/ml
No comments: Submit comment
Supportive validation
- Submitted by
- OriGene (provider)
- Main image

- Experimental details
- Western blot analysis of UACC62 cell lysate (35ug) by using anti-LGALS3 monoclonal antibody.
- Validation comment
- WB
- Submitted by
- OriGene (provider)
- Main image

- Experimental details
- Western blot analysis of extracts (10ug) from 10 Human tissue by using anti-LGALS3 monoclonal antibody at 1:500 (1: Testis; 2: Omentum; 3: Uterus; 4: Breast; 5: Brain; 6: Liver; 7: Ovary; 8: Thyroid gland; 9: colon;10: spleen).
- Validation comment
- WB
Supportive validation
- Submitted by
- OriGene (provider)
- Main image

- Experimental details
- Immunofluorescent staining of HeLa cells using anti-LGALS3 mouse monoclonal antibody (UM500104, green, 1:50). Actin filaments were labeled with Alexa Fluor? 594 Phalloidin (red), and nuclear with DAPI (blue).
- Validation comment
- IF
Supportive validation
- Submitted by
- OriGene (provider)
- Main image

- Experimental details
- Immunohistochemical staining of paraffin-embedded Adenocarcinoma of Human ovary tissue using anti-LGALS3 mouse monoclonal antibody. (UM500104, heat-induced epitope retrieval by 1 mM EDTA in 10mM Tris, pH8.0, 120C for 3min)
- Validation comment
- IHC
- Submitted by
- OriGene (provider)
- Main image

- Experimental details
- Immunohistochemical staining of paraffin-embedded Carcinoma of Human pancreas tissue using anti-LGALS3 mouse monoclonal antibody. (UM500104, heat-induced epitope retrieval by 1 mM EDTA in 10mM Tris, pH8.0, 120C for 3min)
- Validation comment
- IHC
- Submitted by
- OriGene (provider)
- Main image

- Experimental details
- Immunohistochemical staining of paraffin-embedded Human colon tissue using anti-LGALS3 mouse monoclonal antibody. (UM500104, heat-induced epitope retrieval by 1 mM EDTA in 10mM Tris, pH8.0, 120C for 3min)
- Validation comment
- IHC
- Submitted by
- OriGene (provider)
- Main image

- Experimental details
- Immunohistochemical staining of paraffin-embedded Adenocarcinoma of Human colon tissue using anti-LGALS3 mouse monoclonal antibody. (UM500104, heat-induced epitope retrieval by 1 mM EDTA in 10mM Tris, pH8.0, 120C for 3min)
- Validation comment
- IHC
- Submitted by
- OriGene (provider)
- Main image

- Experimental details
- Immunohistochemical staining of paraffin-embedded Human Kidney tissue using anti-LGALS3 mouse monoclonal antibody. (UM500104, heat-induced epitope retrieval by 1 mM EDTA in 10mM Tris, pH8.0, 120C for 3min)
- Validation comment
- IHC
- Submitted by
- OriGene (provider)
- Main image

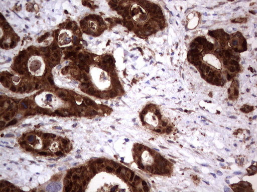
- Experimental details
- Immunohistochemical staining of paraffin-embedded Carcinoma of Human liver tissue using anti-LGALS3 mouse monoclonal antibody. (UM500104, heat-induced epitope retrieval by 1 mM EDTA in 10mM Tris, pH8.0, 120C for 3min)
- Validation comment
- IHC
- Submitted by
- OriGene (provider)
- Main image

- Experimental details
- Immunohistochemical staining of paraffin-embedded Carcinoma of Human lung tissue using anti-LGALS3 mouse monoclonal antibody. (UM500104, heat-induced epitope retrieval by 1 mM EDTA in 10mM Tris, pH8.0, 120C for 3min)
- Validation comment
- IHC
- Submitted by
- OriGene (provider)
- Main image

- Experimental details
- Immunohistochemical staining of paraffin-embedded Human Ovary tissue using anti-LGALS3 mouse monoclonal antibody. (UM500104, heat-induced epitope retrieval by 1 mM EDTA in 10mM Tris, pH8.0, 120C for 3min)
- Validation comment
- IHC
- Submitted by
- OriGene (provider)
- Main image

- Experimental details
- Immunohistochemical staining of paraffin-embedded Human endometrium tissue using anti-LGALS3 mouse monoclonal antibody. (UM500104, heat-induced epitope retrieval by 1 mM EDTA in 10mM Tris, pH8.0, 120C for 3min)
- Validation comment
- IHC
- Submitted by
- OriGene (provider)
- Main image

- Experimental details
- Immunohistochemical staining of paraffin-embedded Adenocarcinoma of Human endometrium tissue using anti-LGALS3 mouse monoclonal antibody. (UM500104, heat-induced epitope retrieval by 1 mM EDTA in 10mM Tris, pH8.0, 120C for 3min)
- Validation comment
- IHC
- Submitted by
- OriGene (provider)
- Main image

- Experimental details
- Immunohistochemical staining of paraffin-embedded Human prostate tissue using anti-LGALS3 mouse monoclonal antibody. (UM500104, heat-induced epitope retrieval by 1 mM EDTA in 10mM Tris, pH8.0, 120C for 3min)
- Validation comment
- IHC
- Submitted by
- OriGene (provider)
- Main image

- Experimental details
- Immunohistochemical staining of paraffin-embedded Carcinoma of Human prostate tissue using anti-LGALS3 mouse monoclonal antibody. (UM500104, heat-induced epitope retrieval by 1 mM EDTA in 10mM Tris, pH8.0, 120C for 3min)
- Validation comment
- IHC
- Submitted by
- OriGene (provider)
- Main image

- Experimental details
- Immunohistochemical staining of paraffin-embedded Human bladder tissue using anti-LGALS3 mouse monoclonal antibody. (UM500104, heat-induced epitope retrieval by 1 mM EDTA in 10mM Tris, pH8.0, 120C for 3min)
- Validation comment
- IHC
- Submitted by
- OriGene (provider)
- Main image

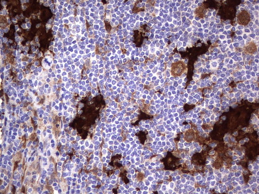
- Experimental details
- Immunohistochemical staining of paraffin-embedded Human lymph node tissue using anti-LGALS3 mouse monoclonal antibody. (UM500104, heat-induced epitope retrieval by 1 mM EDTA in 10mM Tris, pH8.0, 120C for 3min)
- Validation comment
- IHC
- Submitted by
- OriGene (provider)
- Main image

- Experimental details
- Immunohistochemical staining of paraffin-embedded Human lymphoma tissue using anti-LGALS3 mouse monoclonal antibody. (UM500104, heat-induced epitope retrieval by 1 mM EDTA in 10mM Tris, pH8.0, 120C for 3min)
- Validation comment
- IHC
- Submitted by
- OriGene (provider)
- Main image

- Experimental details
- Immunohistochemical staining of paraffin-embedded Human tonsil using anti-LGALS3 mouse monoclonal antibody. (UM500104, heat-induced epitope retrieval by 1 mM EDTA in 10mM Tris, pH8.0, 120C for 3min)
- Validation comment
- IHC
Supportive validation
- Submitted by
- OriGene (provider)
- Main image

- Experimental details
- OriGene overexpression protein microarray chip was immunostained with UltraMAB anti-LGALS3 mouse monoclonal antibody (UM500104). The positive reactive proteins are highlighted with two red arrows in the enlarged subarray. All the positive controls spotted in this subarray are also labeled for clarification.
- Validation comment
- 10K-CHIP