Antibody data
- Antibody Data
- Antigen structure
- References [0]
- Comments [0]
- Validations
- Western blot [1]
- Immunohistochemistry [2]
Submit
Validation data
Reference
Comment
Report error
- Product number
- LS-C408088 - Provider product page

- Provider
- LSBio
- Product name
- NUCB2 / Nucleobindin 2 Antibody (aa25-106) LS-C408088
- Antibody type
- Polyclonal
- Description
- Immunogen affinity purified
- Reactivity
- Mouse, Rat
- Host
- Rabbit
- Storage
- At -20°C for 1 year. After reconstitution, at 4°C for 1 month. It can also be aliquotted and stored frozen at -20°C for a longer time. Avoid freeze-thaw cycles.
No comments: Submit comment
Enhanced validation
- Submitted by
- LSBio (provider)
- Enhanced method
- Genetic validation
- Main image

- Experimental details
- Western blot analysis of Nucleobindin 2 expression in HEPA whole cell lysates (lane 1). Nucleobindin 2 at 55 kD was detected using rabbit anti- Nucleobindin 2 Antigen Affinity purified polyclonal antibody at 0.5 ug/mL. The blot was developed using chemiluminescence (ECL) method.
Supportive validation
- Submitted by
- LSBio (provider)
- Enhanced method
- Genetic validation
- Main image

- Experimental details
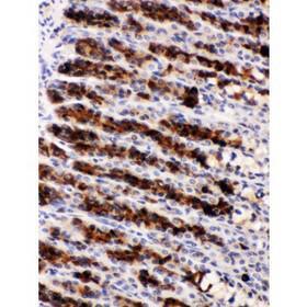
- Nucleobindin 2 was detected in paraffin-embedded sections of rat gaster tissues using rabbit anti- Nucleobindin 2 Antigen Affinity purified polyclonal antibody at 1 ug/mL. The immunohistochemical section was developed using SABC method.
- Submitted by
- LSBio (provider)
- Enhanced method
- Genetic validation
- Main image

- Experimental details
- Nucleobindin 2 was detected in paraffin-embedded sections of mouse gaster tissues using rabbit anti- Nucleobindin 2 Antigen Affinity purified polyclonal antibody at 1 ug/mL. The immunohistochemical section was developed using SABC method.