Antibody data
- Antibody Data
- Antigen structure
- References [0]
- Comments [0]
- Validations
- Western blot [1]
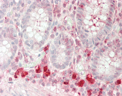
- Immunohistochemistry [1]
Submit
Validation data
Reference
Comment
Report error
- Product number
- ABIN2620918 - Provider product page

- Provider
- antibodies-online
- Product name
- anti-Resistin Like beta (RETNLB) antibody (Biotin)
- Antibody type
- Polyclonal
- Description
- Protein A purified
- Reactivity
- Human
- Host
- Rabbit
- Conjugate
- Biotin
- Vial size
- 50 μg
- Storage
- Short term: 4°C. Long term: Store at -20°C. Avoid freeze-thaw cycles.
- Handling
- Avoid freeze-thaw cycles.
No comments: Submit comment
Supportive validation
- Submitted by
- antibodies-online (provider)
- Main image

- Experimental details
- Image(s): Western Blotting
Supportive validation
- Submitted by
- antibodies-online (provider)
- Main image

- Experimental details
- IHC