Antibody data
- Antibody Data
- Antigen structure
- References [1]
- Comments [0]
- Validations
- Western blot [1]
- Immunohistochemistry [2]
Submit
Validation data
Reference
Comment
Report error
- Product number
- ABIN1109585 - Provider product page

- Provider
- antibodies-online
- Product name
- anti-Zinc Finger Protein 394 (ZNF394) antibody
- Antibody type
- Polyclonal
- Antigen
- Other
- Reactivity
- Human
- Host
- Rabbit
- Vial size
- 50 µg
Submitted references Inhibition of transcriptional activities of AP-1 and c-Jun by a new zinc finger protein ZNF394.
Huang C, Wang Y, Li D, Li Y, Luo J, Yuan W, Ou Y, Zhu C, Zhang Y, Wang Z, Liu M, Wu X
Biochemical and biophysical research communications 2004 Aug 6;320(4):1298-305
Biochemical and biophysical research communications 2004 Aug 6;320(4):1298-305
No comments: Submit comment
Supportive validation
- Submitted by
- antibodies-online (provider)
- Main image

- Experimental details
- Transfected 293T; WB Suggested Anti-ZNF394 Antibody Titration: 0.2-1 ug/ml. ELISA Titer: 1:312500. Positive Control: Transfected 293T; ZNF394 antibody - N-terminal region (AP42009PU-N) in Transfected 293T cells using Western Blot
Supportive validation
- Submitted by
- antibodies-online (provider)
- Main image

- Experimental details
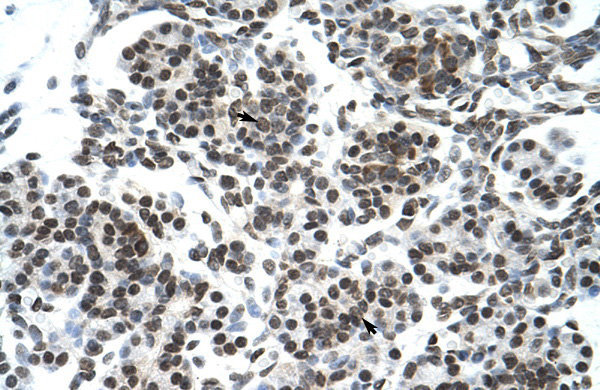
- Human Pancreas; Rabbit Anti-ZNF394 Antibody. Paraffin Embedded Tissue: Human Pancreas. Cellular Data: Epithelial cells of pancreatic acinus. Antibody Concentration: 4.0-8.0 ug/ml. Magnification: 400X; ZNF394 antibody - N-terminal region (AP42009PU-N) in Human Pancreas cells using Immunohistochemistry
- Submitted by
- antibodies-online (provider)
- Main image

- Experimental details
- Human Intestine; Rabbit Anti-ZNF394 Antibody. Paraffin Embedded Tissue: Human Intestine. Cellular Data: Epithelial cells of intestinal villas. Antibody Concentration: 4.0-8.0 ug/ml. Magnification: 400X; ZNF394 antibody - N-terminal region (AP42009PU-N) in Human Intestine cells using Immunohistochemistry