Antibody data
- Antibody Data
- Antigen structure
- References [2]
- Comments [0]
- Validations
- Immunohistochemistry [1]
Submit
Validation data
Reference
Comment
Report error
- Product number
- MAB8977 - Provider product page

- Provider
- R&D Systems
- Product name
- Human Synaptopodin Antibody
- Antibody type
- Monoclonal
- Description
- Protein A or G purified from hybridoma culture supernatant. Detects human Synaptopodin in direct ELISAs.
- Reactivity
- Human
- Host
- Mouse
- Conjugate
- Unconjugated
- Antigen sequence
Q8N3V7- Isotype
- IgG
- Antibody clone number
- 918842
- Vial size
- 100 ug
- Storage
- Use a manual defrost freezer and avoid repeated freeze-thaw cycles. 12 months from date of receipt, -20 to -70 °C as supplied. 1 month, 2 to 8 °C under sterile conditions after reconstitution. 6 months, -20 to -70 °C under sterile conditions after reconstitution.
Submitted references Tyro3 is a podocyte protective factor in glomerular disease.
Blockage of the lysosome-dependent autophagic pathway contributes to complement membrane attack complex-induced podocyte injury in idiopathic membranous nephropathy.
Zhong F, Chen Z, Zhang L, Xie Y, Nair V, Ju W, Kretzler M, Nelson RG, Li Z, Chen H, Wang Y, Zhang A, Lee K, Liu Z, He JC
JCI insight 2018 Nov 15;3(22)
JCI insight 2018 Nov 15;3(22)
Blockage of the lysosome-dependent autophagic pathway contributes to complement membrane attack complex-induced podocyte injury in idiopathic membranous nephropathy.
Liu WJ, Li ZH, Chen XC, Zhao XL, Zhong Z, Yang C, Wu HL, An N, Li WY, Liu HF
Scientific reports 2017 Aug 17;7(1):8643
Scientific reports 2017 Aug 17;7(1):8643
No comments: Submit comment
Supportive validation
- Submitted by
- R&D Systems (provider)
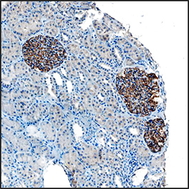
- Main image

- Experimental details
- Synaptopodin in Human Kidney. Synaptopodin was detected in immersion fixed paraffin-embedded sections of human kidney using Mouse Anti-Human Synaptopodin Monoclonal Antibody (Catalog # MAB8977) at 15 µg/mL overnight at 4 °C. Tissue was stained using the Anti-Mouse HRP-DAB Cell & Tissue Staining Kit (brown; Catalog # CTS002) and counterstained with hematoxylin (blue). Specific staining was localized to glomeruli. View our protocol for Chromogenic IHC Staining of Paraffin-embedded Tissue Sections.