Antibody data
- Antibody Data
- Antigen structure
- References [3]
- Comments [0]
- Validations
- Immunocytochemistry [2]
- Immunohistochemistry [4]
Submit
Validation data
Reference
Comment
Report error
- Product number
- PA5-56997 - Provider product page

- Provider
- Invitrogen Antibodies
- Product name
- SYNPO Polyclonal Antibody
- Antibody type
- Polyclonal
- Antigen
- Recombinant protein fragment
- Description
- Immunogen sequence: TTPTKVYSEV HFTLAKPPSV VNRTARPFGI QAPGGTSQME RSPMLERRHF GEKAPAPQPP SLPDRSPRPQ RHIMSRSPMV ERRMMGQRS Highest antigen sequence identity to the following orthologs: Mouse - 80%, Rat - 79%.
- Reactivity
- Human
- Host
- Rabbit
- Isotype
- IgG
- Vial size
- 100 μL
- Concentration
- 0.2 mg/mL
- Storage
- Store at 4°C short term. For long term storage, store at -20°C, avoiding freeze/thaw cycles.
Submitted references Generation of Monogenic Candidate Genes for Human Nephrotic Syndrome Using 3 Independent Approaches.
ADCK4 Deficiency Destabilizes the Coenzyme Q Complex, Which Is Rescued by 2,4-Dihydroxybenzoic Acid Treatment.
Treatment with 2,4-Dihydroxybenzoic Acid Prevents FSGS Progression and Renal Fibrosis in Podocyte-Specific Coq6 Knockout Mice.
Klämbt V, Mao Y, Schneider R, Buerger F, Shamseldin H, Onuchic-Whitford AC, Deutsch K, Kitzler TM, Nakayama M, Majmundar AJ, Mann N, Hugo H, Widmeier E, Tan W, Rehm HL, Mane S, Lifton RP, Alkuraya FS, Shril S, Hildebrandt F
Kidney international reports 2021 Feb;6(2):460-471
Kidney international reports 2021 Feb;6(2):460-471
ADCK4 Deficiency Destabilizes the Coenzyme Q Complex, Which Is Rescued by 2,4-Dihydroxybenzoic Acid Treatment.
Widmeier E, Yu S, Nag A, Chung YW, Nakayama M, Fernández-Del-Río L, Hugo H, Schapiro D, Buerger F, Choi WI, Helmstädter M, Kim JW, Ryu JH, Lee MG, Clarke CF, Hildebrandt F, Gee HY
Journal of the American Society of Nephrology : JASN 2020 Jun;31(6):1191-1211
Journal of the American Society of Nephrology : JASN 2020 Jun;31(6):1191-1211
Treatment with 2,4-Dihydroxybenzoic Acid Prevents FSGS Progression and Renal Fibrosis in Podocyte-Specific Coq6 Knockout Mice.
Widmeier E, Airik M, Hugo H, Schapiro D, Wedel J, Ghosh CC, Nakayama M, Schneider R, Awad AM, Nag A, Cho J, Schueler M, Clarke CF, Airik R, Hildebrandt F
Journal of the American Society of Nephrology : JASN 2019 Mar;30(3):393-405
Journal of the American Society of Nephrology : JASN 2019 Mar;30(3):393-405
No comments: Submit comment
Supportive validation
- Submitted by
- Invitrogen Antibodies (provider)
- Main image

- Experimental details
- Immunofluorescent staining of SYNPO in human cell line U-2 OS shows positivity in cytoplasm, actin filaments & nucleus but excluded from the nucleoli. Samples were probed using a SYNPO Polyclonal Antibody (Product # PA5-56997).
- Submitted by
- Invitrogen Antibodies (provider)
- Main image

- Experimental details
- Immunofluorecent analysis of SYNPO in human cell line U-2 OS using SYNPO Polyclonal Antibody (Product # PA5-56997). Staining shows localization to nucleoplasm, cytosol and actin filaments.
Supportive validation
- Submitted by
- Invitrogen Antibodies (provider)
- Main image

- Experimental details
- Immunohistochemical staining of SYNPO in human cerebral cortex using a SYNPO Polyclonal Antibody (Product # PA5-56997) shows moderate positivity in neuropil.
- Submitted by
- Invitrogen Antibodies (provider)
- Main image

- Experimental details
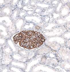
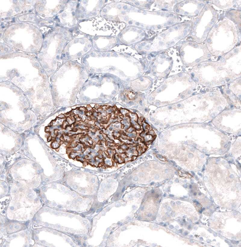
- Immunohistochemical staining of SYNPO in human kidney using a SYNPO Polyclonal Antibody (Product # PA5-56997) shows strong membranous positivity in cells in glomeruli.
- Submitted by
- Invitrogen Antibodies (provider)
- Main image

- Experimental details
- Immunohistochemical staining of SYNPO in human skeletal muscle using a SYNPO Polyclonal Antibody (Product # PA5-56997) shows moderate cytoplasmic positivity in striated muscle fibers.
- Submitted by
- Invitrogen Antibodies (provider)
- Main image

- Experimental details
- Immunohistochemical staining of SYNPO in human tonsil using a SYNPO Polyclonal Antibody (Product # PA5-56997) shows no positivity in lymphoid cells as expected.