AP54309PU-N
antibody from Acris Antibodies GmbH
Targeting: TNFRSF14
ATAR, CD270, HVEA, HVEM, LIGHTR, TR2
Antibody data
- Antibody Data
- Antigen structure
- References [0]
- Comments [0]
- Validations
- Western blot [1]
- Immunohistochemistry [1]
- Flow cytometry [1]
Submit
Validation data
Reference
Comment
Report error
- Product number
- AP54309PU-N - Provider product page

- Provider
- Acris Antibodies GmbH
- Proper citation
- Acris Antibodies GmbH Cat#AP54309PU-N, RRID:AB_11148817
- Product name
- anti TNFRSF14 / HVEM (Center)
- Antibody type
- Polyclonal
- Antigen
- KLH conjugated synthetic peptide between 216~245 amino acids from the Center region of human TNFRSF14
- Reactivity
- Human
- Host
- Rabbit
- Vial size
- 0.4 ml
- Concentration
- lot specific
No comments: Submit comment
Supportive validation
- Submitted by
- Acris Antibodies GmbH (provider)
- Main image

- Experimental details
- Western blot analysis of anti-TNFRSF14 Antibody (Center) Pab (AP54309PU-N) pre-incubated without(lane 1) and with (lane 2) blocking peptide in HL-60 cell line lysate. TNFRSF14 (arrow) was detected using the purified Pab (1:250 dilution).
Supportive validation
- Submitted by
- Acris Antibodies GmbH (provider)
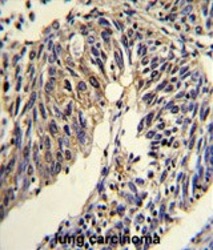
- Main image

- Experimental details
- Formalin-fixed and paraffin-embedded human lung carcinoma reacted with TNFRSF14 Antibody (Center), which was peroxidase-conjugated to the secondary antibody, followed by DAB staining. This data demonstrates the use of this antibody for immunohistochemistry; clinical relevance has not been evaluated.
Supportive validation
- Submitted by
- Acris Antibodies GmbH (provider)
- Main image

- Experimental details
- TNFRSF14 Antibody (Center) (AP54309PU-N) flow cytometric analysis of HL-60 cells (bottom histogram) compared to a negative control cell (top histogram). FITC-conjugated goat-anti-rabbit secondary antibodies were used for the analysis.