Antibody data
- Antibody Data
- Antigen structure
- References [0]
- Comments [0]
- Validations
- Western blot [2]
- Immunocytochemistry [1]
Submit
Validation data
Reference
Comment
Report error
- Product number
- H00055229-D01P - Provider product page

- Provider
- Novus Biologicals
- Proper citation
- Novus Cat#H00055229-D01P, RRID:AB_11026196
- Product name
- Rabbit Polyclonal PANK4 Antibody
- Antibody type
- Polyclonal
- Description
- Protein G purified.
- Reactivity
- Human, Mouse, Rat
- Host
- Rabbit
- Isotype
- IgG
- Vial size
- 0.1 mg
- Storage
- Aliquot and store at -20C or -80C. Avoid freeze-thaw cycles.
No comments: Submit comment
Supportive validation
- Submitted by
- Novus Biologicals (provider)
- Main image

- Experimental details
- Western Blot: PANK4 Antibody [H00055229-D01P] - Analysis of PANK4 expression in transfected 293T cell line by PANK4 polyclonal antibody.Lane 1: PANK4 transfected lysate(86.00 KDa).Lane 2: Non-transfected lysate.
- Submitted by
- Novus Biologicals (provider)
- Main image

- Experimental details
- Western Blot: PANK4 Antibody [H00055229-D01P] - Analysis of PANK4 expression in PC-12.
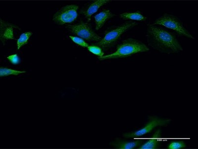
Supportive validation
- Submitted by
- Novus Biologicals (provider)
- Main image

- Experimental details
- Immunocytochemistry/Immunofluorescence: PANK4 Antibody [H00055229-D01P] - Analysis of antibody to PANK4 on HeLa cell. Antibody concentration 30 ug/ml.