Antibody data
- Antibody Data
- Antigen structure
- References [8]
- Comments [0]
- Validations
- Western blot [3]
- Immunohistochemistry [1]
Submit
Validation data
Reference
Comment
Report error
- Product number
- AP7039b - Provider product page

- Provider
- Abcepta
- Proper citation
- Abgent Cat#AP7039b, RRID:AB_2161467
- Product name
- PDK2 Antibody (C-term)
- Antibody type
- Polyclonal
- Antigen
- Synthetic peptide
- Description
- Purified Rabbit Polyclonal Antibody (Pab)
- Reactivity
- Human, Mouse, Rat, Simian
- Host
- Rabbit
- Isotype
- IgG
- Vial size
- 400 µl
- Concentration
- 2 mg/ml
- Storage
- Maintain refrigerated at 2-8°C for up to 6 months. For long term storage store at -20°C in small aliquots to prevent freeze-thaw cycles.
Submitted references Inactivation of pyruvate dehydrogenase kinase 2 by mitochondrial reactive oxygen species.
PDH activation during in vitro muscle contractions in PDH kinase 2 knockout mice: effect of PDH kinase 1 compensation.
The relationship between human skeletal muscle pyruvate dehydrogenase phosphatase activity and muscle aerobic capacity.
Mitochondrial mutations contribute to HIF1alpha accumulation via increased reactive oxygen species and up-regulated pyruvate dehydrogenease kinase 2 in head and neck squamous cell carcinoma.
Prolonged L-alanine exposure induces changes in metabolism, Ca(2+) handling and desensitization of insulin secretion in clonal pancreatic beta-cells.
Regulation of pyruvate dehydrogenase in the common killifish, Fundulus heteroclitus, during hypoxia exposure.
Estrogen-related receptors stimulate pyruvate dehydrogenase kinase isoform 4 gene expression.
Reperfusion-induced translocation of deltaPKC to cardiac mitochondria prevents pyruvate dehydrogenase reactivation.
Hurd TR, Collins Y, Abakumova I, Chouchani ET, Baranowski B, Fearnley IM, Prime TA, Murphy MP, James AM
The Journal of biological chemistry 2012 Oct 12;287(42):35153-35160
The Journal of biological chemistry 2012 Oct 12;287(42):35153-35160
PDH activation during in vitro muscle contractions in PDH kinase 2 knockout mice: effect of PDH kinase 1 compensation.
Dunford EC, Herbst EA, Jeoung NH, Gittings W, Inglis JG, Vandenboom R, LeBlanc PJ, Harris RA, Peters SJ
American journal of physiology. Regulatory, integrative and comparative physiology 2011 Jun;300(6):R1487-93
American journal of physiology. Regulatory, integrative and comparative physiology 2011 Jun;300(6):R1487-93
The relationship between human skeletal muscle pyruvate dehydrogenase phosphatase activity and muscle aerobic capacity.
Love LK, LeBlanc PJ, Inglis JG, Bradley NS, Choptiany J, Heigenhauser GJ, Peters SJ
Journal of applied physiology (Bethesda, Md. : 1985) 2011 Aug;111(2):427-34
Journal of applied physiology (Bethesda, Md. : 1985) 2011 Aug;111(2):427-34
Mitochondrial mutations contribute to HIF1alpha accumulation via increased reactive oxygen species and up-regulated pyruvate dehydrogenease kinase 2 in head and neck squamous cell carcinoma.
Sun W, Zhou S, Chang SS, McFate T, Verma A, Califano JA
Clinical cancer research : an official journal of the American Association for Cancer Research 2009 Jan 15;15(2):476-84
Clinical cancer research : an official journal of the American Association for Cancer Research 2009 Jan 15;15(2):476-84
Prolonged L-alanine exposure induces changes in metabolism, Ca(2+) handling and desensitization of insulin secretion in clonal pancreatic beta-cells.
McClenaghan NH, Scullion SM, Mion B, Hewage C, Malthouse JP, Flatt PR, Newsholme P, Brennan L
Clinical science (London, England : 1979) 2009 Feb;116(4):341-51
Clinical science (London, England : 1979) 2009 Feb;116(4):341-51
Regulation of pyruvate dehydrogenase in the common killifish, Fundulus heteroclitus, during hypoxia exposure.
Richards JG, Sardella BA, Schulte PM
American journal of physiology. Regulatory, integrative and comparative physiology 2008 Sep;295(3):R979-90
American journal of physiology. Regulatory, integrative and comparative physiology 2008 Sep;295(3):R979-90
Estrogen-related receptors stimulate pyruvate dehydrogenase kinase isoform 4 gene expression.
Zhang Y, Ma K, Sadana P, Chowdhury F, Gaillard S, Wang F, McDonnell DP, Unterman TG, Elam MB, Park EA
The Journal of biological chemistry 2006 Dec 29;281(52):39897-906
The Journal of biological chemistry 2006 Dec 29;281(52):39897-906
Reperfusion-induced translocation of deltaPKC to cardiac mitochondria prevents pyruvate dehydrogenase reactivation.
Churchill EN, Murriel CL, Chen CH, Mochly-Rosen D, Szweda LI
Circulation research 2005 Jul 8;97(1):78-85
Circulation research 2005 Jul 8;97(1):78-85
No comments: Submit comment
Supportive validation
- Submitted by
- Abcepta (provider)
- Main image

- Experimental details
- Western blot analysis of PDK2 Antibody (C-term)(Cat. #AP7039b) in mouse intestine tissue lysate (35ug/lane). PDK2 (arrow) was detected using the purified Pab.
- Primary Ab dilution
- 1:1000
- Submitted by
- Abcepta (provider)
- Main image

- Experimental details
- Western blot analysis of PDK2 (arrow) using PDK2 Antibody (C-term)(Cat. #AP7039b). 293 cell lysates (2 ug/lane) either nontransfected (Lane 1) or transiently transfected with the PDK2 gene (Lane 2) (Origene Technologies).
- Primary Ab dilution
- 1:1000
- Submitted by
- Abcepta (provider)
- Main image

- Experimental details
- PDK2 Antibody (C392) (Cat. #AP7039b) western blot analysis in Hela cell line lysates (35ug/lane).This demonstrates the PDK2 antibody detected the PDK2 protein (arrow).
- Primary Ab dilution
- 1:1000
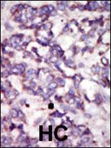
Supportive validation
- Submitted by
- Abcepta (provider)
- Main image

- Experimental details
- "Formalin-fixed and paraffin-embedded human cancer tissue reacted with the primary antibody, which was peroxidase-conjugated to the secondary antibody, followed by DAB staining. This data demonstrates the use of this antibody for immunohistochemistry; clinical relevance has not been evaluated. BC = breast carcinoma; HC = hepatocarcinoma."
- Primary Ab dilution
- 1:50~100