Antibody data
- Antibody Data
- Antigen structure
- References [0]
- Comments [0]
- Validations
- Immunocytochemistry [1]
- Immunohistochemistry [4]
Submit
Validation data
Reference
Comment
Report error
- Product number
- PA5-54934 - Provider product page

- Provider
- Invitrogen Antibodies
- Product name
- ZNF567 Polyclonal Antibody
- Antibody type
- Polyclonal
- Antigen
- Recombinant protein fragment
- Description
- Immunogen sequence: PEVKSHNQSA RAFSHNEVLM QYQKTETPAQ SFGYNDCEKS FLQRGGLITH SRPYKGENPS VY Highest antigen sequence identity to the following orthologs: Mouse - 37%, Rat - 35%.
- Reactivity
- Human
- Host
- Rabbit
- Isotype
- IgG
- Vial size
- 100 μL
- Concentration
- Lot-Specific
- Storage
- Store at 4°C short term. For long term storage, store at -20°C, avoiding freeze/thaw cycles.
No comments: Submit comment
Supportive validation
- Submitted by
- Invitrogen Antibodies (provider)
- Main image

- Experimental details
- Immunofluorecent analysis of ZNF567 in human cell line U-251 MG using ZNF567 Polyclonal Antibody (Product # PA5-54934). Staining shows localization to nucleoplasm and cytosol.
Supportive validation
- Submitted by
- Invitrogen Antibodies (provider)
- Main image

- Experimental details
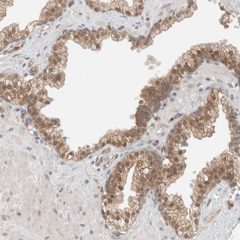
- Immunohistochemical analysis of ZNF567 in human fallopian tube using ZNF567 Polyclonal Antibody (Product # PA5-54934) shows weak nuclear and cytoplasmic positivity in glandular cells.
- Submitted by
- Invitrogen Antibodies (provider)
- Main image

- Experimental details
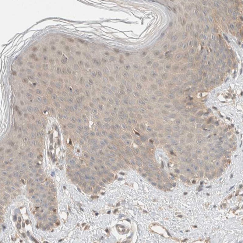
- Immunohistochemical analysis of ZNF567 in human skin using ZNF567 Polyclonal Antibody (Product # PA5-54934) shows very weak positivity in squamous epithelial cells as expected.
- Submitted by
- Invitrogen Antibodies (provider)
- Main image

- Experimental details
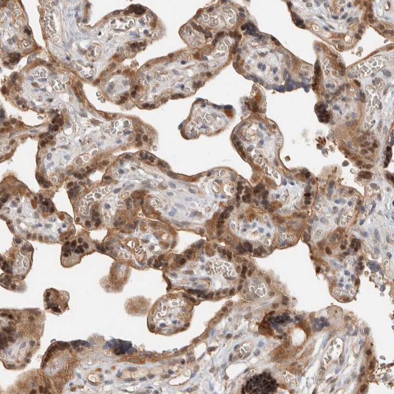
- Immunohistochemical analysis of ZNF567 in human placenta using ZNF567 Polyclonal Antibody (Product # PA5-54934) shows moderate nuclear and cytoplasmic positivity in trophoblastic cells.
- Submitted by
- Invitrogen Antibodies (provider)
- Main image

- Experimental details
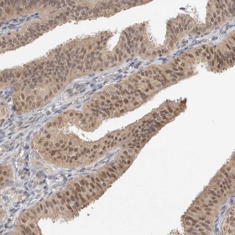
- Immunohistochemical analysis of ZNF567 in human prostate using ZNF567 Polyclonal Antibody (Product # PA5-54934) shows weak nuclear and cytoplasmic positivity in glandular cells.