Antibody data
- Antibody Data
- Antigen structure
- References [14]
- Comments [0]
- Validations
- Immunohistochemistry [2]
- Blocking/Neutralizing [1]
Submit
Validation data
Reference
Comment
Report error
- Product number
- AF-239-NA - Provider product page

- Provider
- R&D Systems
- Product name
- Human TGF-alpha Antibody
- Antibody type
- Polyclonal
- Description
- Immunogen affinity purified. Detects human TGF-alpha in ELISAs and Western blots. In sandwich immunoassays, less than 0.05% cross-reactivity with recombinant human (rh) TGF-beta 1, rhAmphiregulin, rhBetacellulin, rhEGF, rhHRG-alpha , and rhSMDF is observed.
- Reactivity
- Human
- Host
- Goat
- Conjugate
- Unconjugated
- Antigen sequence
P01135- Isotype
- IgG
- Vial size
- 100 ug
- Concentration
- LYOPH
- Storage
- Use a manual defrost freezer and avoid repeated freeze-thaw cycles. 12 months from date of receipt, -20 to -70 °C as supplied. 1 month, 2 to 8 °C under sterile conditions after reconstitution. 6 months, -20 to -70 °C under sterile conditions after reconstitution.
Submitted references Temporal expression of growth factors triggered by epiregulin regulates inflammation development.
Amphiregulin carboxy-terminal domain is required for autocrine keratinocyte growth.
The luteinizing hormone receptor-activated extracellularly regulated kinase-1/2 cascade stimulates epiregulin release from granulosa cells.
Development and validation of sandwich ELISA microarrays with minimal assay interference.
Association of tetraspanin CD9 with transmembrane TGF{alpha} confers alterations in cell-surface presentation of TGF{alpha} and cytoskeletal organization.
EGFR signaling is required for TGF-beta 1 mediated COX-2 induction in human bronchial epithelial cells.
Epidermal growth factor-like growth factors prevent apoptosis of alcohol-exposed human placental cytotrophoblast cells.
Expression and role of EGFR ligands induced in airway cells by PM2.5 and its components.
Transforming growth factor-alpha: a major human serum factor that promotes human keratinocyte migration.
The response of human epithelial cells to TNF involves an inducible autocrine cascade.
Autocrine extracellular signal-regulated kinase (ERK) activation in normal human keratinocytes: metalloproteinase-mediated release of amphiregulin triggers signaling from ErbB1 to ERK.
Mek1 alters epidermal growth and differentiation.
Heparin-binding EGF-like growth factor regulates human extravillous cytotrophoblast development during conversion to the invasive phenotype.
Heparin-binding EGF-like growth factor regulates human extravillous cytotrophoblast development during conversion to the invasive phenotype.
Harada M, Kamimura D, Arima Y, Kohsaka H, Nakatsuji Y, Nishida M, Atsumi T, Meng J, Bando H, Singh R, Sabharwal L, Jiang JJ, Kumai N, Miyasaka N, Sakoda S, Yamauchi-Takihara K, Ogura H, Hirano T, Murakami M
Journal of immunology (Baltimore, Md. : 1950) 2015 Feb 1;194(3):1039-46
Journal of immunology (Baltimore, Md. : 1950) 2015 Feb 1;194(3):1039-46
Amphiregulin carboxy-terminal domain is required for autocrine keratinocyte growth.
Stoll SW, Johnson JL, Li Y, RittiƩ L, Elder JT
The Journal of investigative dermatology 2010 Aug;130(8):2031-40
The Journal of investigative dermatology 2010 Aug;130(8):2031-40
The luteinizing hormone receptor-activated extracellularly regulated kinase-1/2 cascade stimulates epiregulin release from granulosa cells.
Andric N, Ascoli M
Endocrinology 2008 Nov;149(11):5549-56
Endocrinology 2008 Nov;149(11):5549-56
Development and validation of sandwich ELISA microarrays with minimal assay interference.
Gonzalez RM, Seurynck-Servoss SL, Crowley SA, Brown M, Omenn GS, Hayes DF, Zangar RC
Journal of proteome research 2008 Jun;7(6):2406-14
Journal of proteome research 2008 Jun;7(6):2406-14
Association of tetraspanin CD9 with transmembrane TGF{alpha} confers alterations in cell-surface presentation of TGF{alpha} and cytoskeletal organization.
Imhof I, Gasper WJ, Derynck R
Journal of cell science 2008 Jul 1;121(Pt 13):2265-74
Journal of cell science 2008 Jul 1;121(Pt 13):2265-74
EGFR signaling is required for TGF-beta 1 mediated COX-2 induction in human bronchial epithelial cells.
Liu M, Yang SC, Sharma S, Luo J, Cui X, Peebles KA, Huang M, Sato M, Ramirez RD, Shay JW, Minna JD, Dubinett SM
American journal of respiratory cell and molecular biology 2007 Nov;37(5):578-88
American journal of respiratory cell and molecular biology 2007 Nov;37(5):578-88
Epidermal growth factor-like growth factors prevent apoptosis of alcohol-exposed human placental cytotrophoblast cells.
Wolff GS, Chiang PJ, Smith SM, Romero R, Armant DR
Biology of reproduction 2007 Jul;77(1):53-60
Biology of reproduction 2007 Jul;77(1):53-60
Expression and role of EGFR ligands induced in airway cells by PM2.5 and its components.
Rumelhard M, Ramgolam K, Hamel R, Marano F, Baeza-Squiban A
The European respiratory journal 2007 Dec;30(6):1064-73
The European respiratory journal 2007 Dec;30(6):1064-73
Transforming growth factor-alpha: a major human serum factor that promotes human keratinocyte migration.
Li Y, Fan J, Chen M, Li W, Woodley DT
The Journal of investigative dermatology 2006 Sep;126(9):2096-105
The Journal of investigative dermatology 2006 Sep;126(9):2096-105
The response of human epithelial cells to TNF involves an inducible autocrine cascade.
Janes KA, Gaudet S, Albeck JG, Nielsen UB, Lauffenburger DA, Sorger PK
Cell 2006 Mar 24;124(6):1225-39
Cell 2006 Mar 24;124(6):1225-39
Autocrine extracellular signal-regulated kinase (ERK) activation in normal human keratinocytes: metalloproteinase-mediated release of amphiregulin triggers signaling from ErbB1 to ERK.
Kansra S, Stoll SW, Johnson JL, Elder JT
Molecular biology of the cell 2004 Sep;15(9):4299-309
Molecular biology of the cell 2004 Sep;15(9):4299-309
Mek1 alters epidermal growth and differentiation.
Scholl FA, Dumesic PA, Khavari PA
Cancer research 2004 Sep 1;64(17):6035-40
Cancer research 2004 Sep 1;64(17):6035-40
Heparin-binding EGF-like growth factor regulates human extravillous cytotrophoblast development during conversion to the invasive phenotype.
Leach RE, Kilburn B, Wang J, Liu Z, Romero R, Armant DR
Developmental biology 2004 Feb 15;266(2):223-37
Developmental biology 2004 Feb 15;266(2):223-37
Heparin-binding EGF-like growth factor regulates human extravillous cytotrophoblast development during conversion to the invasive phenotype.
Leach RE, Kilburn B, Wang J, Liu Z, Romero R, Armant DR
Developmental biology 2004 Feb 15;266(2):223-37
Developmental biology 2004 Feb 15;266(2):223-37
No comments: Submit comment
Supportive validation
- Submitted by
- R&D Systems (provider)
- Main image

- Experimental details
- TGF-alpha in Human Astrocytoma. TGF-alpha was detected in immersion fixed paraffin-embedded sections of human astrocytoma using 15 µg/mL Goat Anti-Human TGF-alpha Antigen Affinity-purified Polyclonal Antibody (Catalog # AF-239-NA) overnight at 4 °C. Before incubation with the primary antibody tissue was subjected to heat-induced epitope retrieval using Antigen Retrieval Reagent-Basic (Catalog # CTS013). Tissue was stained with the Anti-Goat HRP-DAB Cell & Tissue Staining Kit (brown; Catalog # CTS008) and counterstained with hematoxylin (blue). View our protocol for Chromogenic IHC Staining of Paraffin-embedded Tissue Sections.
- Submitted by
- R&D Systems (provider)
- Main image

- Experimental details
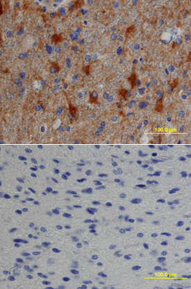
- TGF-alpha in Human Astrocytoma. TGF-alpha was detected in immersion fixed paraffin-embedded sections of human astrocytoma using Goat Anti-Human TGF-alpha Antigen Affinity-purified Polyclonal Antibody (Catalog # AF-239-NA) at 15 µg/mL overnight at 4 °C. Tissue was stained using the Anti-Goat HRP-DAB Cell & Tissue Staining Kit (brown; Catalog # CTS008) and counterstained with hematoxylin (blue). Lower panel shows a lack of labeling if primary antibodies are omitted and tissue is stained only with secondary antibody followed by incubation with detection reagents. View our protocol for Chromogenic IHC Staining of Paraffin-embedded Tissue Sections.
Supportive validation
- Submitted by
- R&D Systems (provider)
- Main image

- Experimental details
- Cell Proliferation Induced by TGF-alpha and Neutralization by Human TGF-alpha Antibody. Recombinant Human TGF-alpha (Catalog # 239-A) stimulates proliferation in the Balb/3T3 mouse embryonic fibroblast cell line in a dose-dependent manner (orange line). Proliferation elicited by Recombinant Human TGF-alpha (3 ng/mL) is neutralized (green line) by increasing concentrations of Goat Anti-Human TGF-alpha Antigen Affinity-purified Polyclonal Antibody (Catalog # AF-239-NA). The ND50 is typically 0.15-0.75 μg/mL.