Antibody data
- Antibody Data
- Antigen structure
- References [0]
- Comments [0]
- Validations
- Immunohistochemistry [1]
- Other assay [1]
Submit
Validation data
Reference
Comment
Report error
- Product number
- V4016 - Provider product page

- Provider
- NSJ Bioreagents
- Product name
- Recombinant Steroidogenic Factor 1 Antibody
- Antibody type
- Monoclonal
- Description
- This highly specific Recombinant Steroidogenic Factor 1 antibody is suitable for use in Immunohistochemistry applications with human samples.
- Reactivity
- Human
- Host
- Mouse
- Conjugate
- Unconjugated
- Antibody clone number
- rNR5A1/4369
- Vial size
- 20 ug (with BSA and sodium azide), 100 ug (with BSA and sodium azide), 100 ug (without BSA or sodium azide), 7 ml IHC only format (if applicable)
- Concentration
- 0.2 mg/ml, 1 mg/ml
- Storage
- Aliquot the recombinant Steroidogenic Factor 1 antibody and store frozen at -20oC or colder. Avoid repeated freeze-thaw cycles.
No comments: Submit comment
Supportive validation
- Submitted by
- NSJ Bioreagents (provider)
- Main image

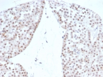
- Experimental details
- IHC staining of FFPE human renal oncocytoma with recombinant Steroidogenic Factor 1 antibody (clone rNR5A1/4369). HIER: boil tissue sections in pH 9 10mM Tris with 1mM EDTA for 20 min and allow to cool before testing.
Supportive validation
- Submitted by
- NSJ Bioreagents (provider)
- Main image

- Experimental details
- SDS-PAGE analysis of purified, BSA-free recombinant Steroidogenic Factor 1 antibody (clone rNR5A1/4369) as confirmation of integrity and purity.