Antibody data
- Antibody Data
- Antigen structure
- References [0]
- Comments [0]
- Validations
- Immunohistochemistry [1]
Submit
Validation data
Reference
Comment
Report error
- Product number
- AP05120PU-N - Provider product page

- Provider
- OriGene
- Product name
- TGF beta Receptor III (TGFBR3) sheep polyclonal antibody, Purified
- Antibody type
- Polyclonal
- Description
- TGF beta Receptor III (TGFBR3) sheep polyclonal antibody, Purified
- Host
- Sheep
- Conjugate
- Unconjugated
- Epitope
- TGFBR3
- Isotype
- IgG
- Antibody clone number
- NULL
- Vial size
- 250 µg
- Concentration
- 1.0 mg/ml
No comments: Submit comment
Supportive validation
- Submitted by
- OriGene (provider)
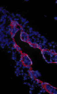
- Main image

- Experimental details
- Immunohistochemical staining of extraembryonic membranes from stage 16 chick embryos using TGFbetaIII receptor antibody.
- Validation comment
- IHC