Antibody data
- Antibody Data
- Antigen structure
- References [0]
- Comments [0]
- Validations
- Immunohistochemistry [2]
Submit
Validation data
Reference
Comment
Report error
- Product number
- LS-C401496 - Provider product page

- Provider
- LSBio
- Product name
- Anti-CD200R1 / CD200R Antibody LS-C401496
- Antibody type
- Polyclonal
- Description
- Immunoaffinity purified
- Reactivity
- Human
- Host
- Rabbit
- Isotype
- IgG
- Vial size
- 20µl
- Storage
- Short term: -20°C; Long term: -80°C; Avoid freeze-thaw cycles.
No comments: Submit comment
Supportive validation
- Submitted by
- LSBio (provider)
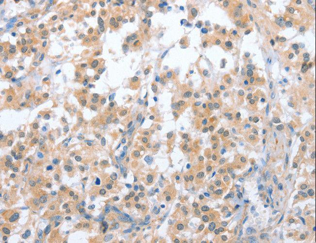
- Main image

- Experimental details
- Immunohistochemistry of Human prostate cancer using CD200R1 Polyclonal Antibody at dilution of 1:70.
- Submitted by
- LSBio (provider)
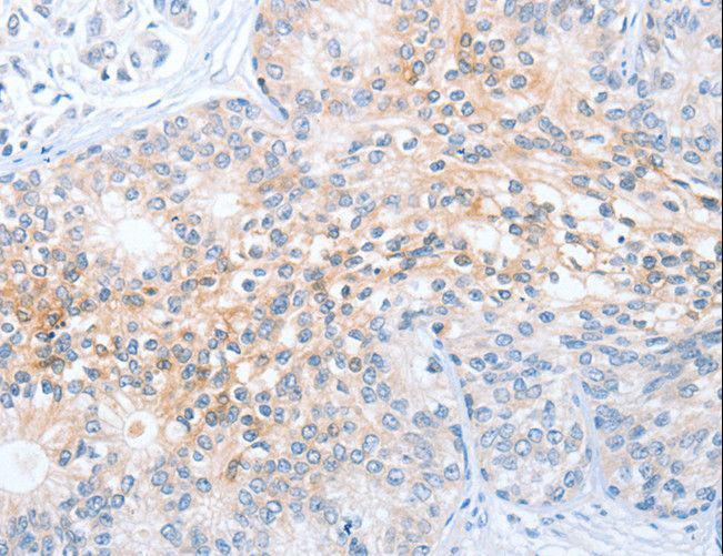
- Main image

- Experimental details
- Immunohistochemistry of Human prostate cancer using CD200R1 Polyclonal Antibody at dilution of 1:70.