Antibody data
- Antibody Data
- Antigen structure
- References [0]
- Comments [0]
- Validations
- Western blot [1]
- Immunohistochemistry [4]
Submit
Validation data
Reference
Comment
Report error
- Product number
- LS-B11795 - Provider product page

- Provider
- LSBio
- Product name
- IHC-plus™ PLIN3 / M6PRBP1 / TIP47 Antibody (aa296-322) LS-B11795
- Antibody type
- Polyclonal
- Description
- Protein A purified
- Reactivity
- Human, Mouse
- Host
- Rabbit
- Storage
- Maintain refrigerated at 2°C to 8°C for up to 6 months. For long term storage store at -20°C.
No comments: Submit comment
Enhanced validation
- Submitted by
- LSBio (provider)
- Enhanced method
- Genetic validation
- Main image

- Experimental details
- Mouse Plin3 Antibody western blot of MDA-MB231 cell line lysates (35 ug/lane). The Mouse Plin3 antibody detected the Mouse Plin3 protein (arrow).
Supportive validation
- Submitted by
- LSBio (provider)
- Enhanced method
- Genetic validation
- Main image

- Experimental details
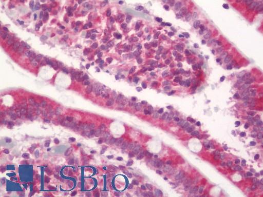
- Human Small Intestine: Formalin-Fixed, Paraffin-Embedded (FFPE)
- Submitted by
- LSBio (provider)
- Enhanced method
- Genetic validation
- Main image

- Experimental details
- Human Testis: Formalin-Fixed, Paraffin-Embedded (FFPE)
- Submitted by
- LSBio (provider)
- Enhanced method
- Genetic validation
- Main image

- Experimental details
- Human Small Intestine: Formalin-Fixed, Paraffin-Embedded (FFPE)
- Submitted by
- LSBio (provider)
- Enhanced method
- Genetic validation
- Main image

- Experimental details
- Human Testis: Formalin-Fixed, Paraffin-Embedded (FFPE)