Antibody data
- Antibody Data
- Antigen structure
- References [0]
- Comments [0]
- Validations
- Western blot [1]
- Immunohistochemistry [7]
Submit
Validation data
Reference
Comment
Report error
- Product number
- NBP1-89289 - Provider product page

- Provider
- Novus Biologicals
- Proper citation
- Novus Cat#NBP1-89289, RRID:AB_11021595
- Product name
- Rabbit Polyclonal ACADL Antibody
- Antibody type
- Polyclonal
- Description
- Immunogen affinity purified. Specificity of human, mouse, rat ACADL antibody verified on a Protein Array containing target protein plus 383 other non-specific proteins.
- Reactivity
- Human, Mouse, Rat
- Host
- Rabbit
- Isotype
- IgG
- Vial size
- 0.1 ml
- Storage
- Store at 4C short term. Aliquot and store at -20C long term. Avoid freeze-thaw cycles.
No comments: Submit comment
Supportive validation
- Submitted by
- Novus Biologicals (provider)
- Main image

- Experimental details
- Western Blot: ACADL Antibody [NBP1-89289] - Lane 1: NIH-3T3 cell lysate (Mouse embryonic fibroblast cells). Lane 2: NBT-II cell lysate (Rat Wistar bladder tumor cells).
Supportive validation
- Submitted by
- Novus Biologicals (provider)
- Main image

- Experimental details
- Immunohistochemistry-Paraffin: ACADL Antibody [NBP1-89289] - Staining of human thyroid gland shows strong cytoplasmic positivity with a granular pattern in glandular cells.
- Submitted by
- Novus Biologicals (provider)
- Main image

- Experimental details
- Immunohistochemistry-Paraffin: ACADL Antibody [NBP1-89289] - Staining of human cerebral cortex shows no positivity as expected.
- Submitted by
- Novus Biologicals (provider)
- Main image

- Experimental details
- Immunohistochemistry-Paraffin: ACADL Antibody [NBP1-89289] - Staining of human liver shows moderate cytoplasmic positivity in hepatocytes.
- Submitted by
- Novus Biologicals (provider)
- Main image

- Experimental details
- Immunohistochemistry-Paraffin: ACADL Antibody [NBP1-89289] - Analysis in human thyroid gland and cerebral cortex tissues. Corresponding ACADL RNA-seq data are presented for the same tissues.
- Submitted by
- Novus Biologicals (provider)
- Main image

- Experimental details
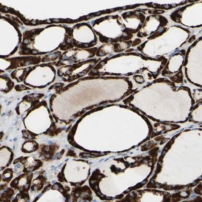
- Immunohistochemistry-Paraffin: ACADL Antibody [NBP1-89289] - Staining of human thyroid gland shows strong cytoplasmic positivity in glandular cells.
- Submitted by
- Novus Biologicals (provider)
- Main image

- Experimental details
- Immunohistochemistry-Paraffin: ACADL Antibody [NBP1-89289] - Staining of human lung shows moderate to strong granular cytoplasmic positivity in macrophages.
- Submitted by
- Novus Biologicals (provider)
- Main image

- Experimental details
- Immunohistochemistry-Paraffin: ACADL Antibody [NBP1-89289] - Staining of human kidney shows moderate granular cytoplasmic positivity in cells in tubules.