Antibody data
- Antibody Data
- Antigen structure
- References [0]
- Comments [0]
- Validations
- Immunohistochemistry [1]
Submit
Validation data
Reference
Comment
Report error
- Product number
- NBP1-02398 - Provider product page

- Provider
- Novus Biologicals
- Proper citation
- Novus Cat#NBP1-02398, RRID:AB_1520764
- Product name
- Rabbit Polyclonal Dopamine D3R/DRD3 Antibody
- Antibody type
- Polyclonal
- Description
- Immunogen affinity purified. Human Dopamine D3R/DRD3. BLAST analysis of the peptide immunogen showed no homology with other human proteins.
- Reactivity
- Human, Simian
- Host
- Rabbit
- Isotype
- IgG
- Vial size
- 0.05 mg
- Concentration
- 1.0 mg/ml
- Storage
- Store at 4C short term. Aliquot and store at -20C long term. Avoid freeze-thaw cycles.
No comments: Submit comment
Supportive validation
- Submitted by
- Novus Biologicals (provider)
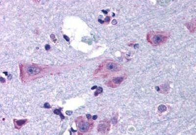
- Main image

- Experimental details
- Immunohistochemistry-Paraffin: Dopamine D3R/DRD3 Antibody [NBP1-02398] - Staining of human brain, cortex tissue after heat-induced antigen retrieval. Antibody concentration 20 ug/ml.