Antibody data
- Antibody Data
- Antigen structure
- References [1]
- Comments [0]
- Validations
- Immunohistochemistry [1]
Submit
Validation data
Reference
Comment
Report error
- Product number
- NBP1-36944 - Provider product page

- Provider
- Novus Biologicals
- Proper citation
- Novus Cat#NBP1-36944, RRID:AB_2078325
- Product name
- Goat Polyclonal CEBP gamma Antibody
- Antibody type
- Polyclonal
- Description
- Immunogen affinity purified.
- Reactivity
- Human
- Host
- Goat
- Antigen sequence
C Terminus- Isotype
- IgG
- Vial size
- 0.1 mg
- Concentration
- 0.5 mg/ml
- Storage
- Store at -20C. Avoid freeze-thaw cycles.
Submitted references CEBPG transcription factor correlates with antioxidant and DNA repair genes in normal bronchial epithelial cells but not in individuals with bronchogenic carcinoma.
Mullins DN, Crawford EL, Khuder SA, Hernandez DA, Yoon Y, Willey JC
BMC cancer 2005 Oct 29;5:141
BMC cancer 2005 Oct 29;5:141
No comments: Submit comment
Supportive validation
- Submitted by
- Novus Biologicals (provider)
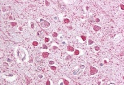
- Main image

- Experimental details
- Immunohistochemistry-Paraffin: CEBP gamma Antibody [NBP1-36944] - (2.5ug/ml) staining of paraffin embedded Human Cortex. Steamed antigen retrieval with citrate buffer pH 6, AP-staining.