Antibody data
- Antibody Data
- Antigen structure
- References [0]
- Comments [0]
- Validations
- Western blot [1]
- Immunohistochemistry [1]
Submit
Validation data
Reference
Comment
Report error
- Product number
- TA802897 - Provider product page

- Provider
- OriGene
- Proper citation
- OriGene Cat#TA802897, RRID:AB_2626568
- Product name
- KRT24 mouse monoclonal antibody, clone OTI2A2 (formerly 2A2)
- Antibody type
- Monoclonal
- Description
- KRT24 mouse monoclonal antibody, clone OTI2A2 (formerly 2A2)
- Host
- Mouse
- Conjugate
- Unconjugated
- Epitope
- KRT24
- Isotype
- IgG
- Antibody clone number
- OTI2A2
- Vial size
- 100 µl
- Concentration
- 1 mg/ml
No comments: Submit comment
Supportive validation
- Submitted by
- OriGene (provider)
- Main image

- Experimental details
- HEK293T cells were transfected with the pCMV6-ENTRY control (Left lane) or pCMV6-ENTRY KRT24 (RC211286, Right lane) cDNA for 48 hrs and lysed. Equivalent amounts of cell lysates (5 ug per lane) were separated by SDS-PAGE and immunoblotted with anti-KRT24.
- Validation comment
- WB
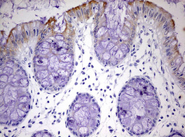
Supportive validation
- Submitted by
- OriGene (provider)
- Main image

- Experimental details
- Immunohistochemical staining of paraffin-embedded Human colon tissue within the normal limits using anti-KRT24 mouse monoclonal antibody. (Heat-induced epitope retrieval by 10mM citric buffer, pH6.0, 120C for 3min, TA802897)
- Validation comment
- IHC