Antibody data
- Antibody Data
- Antigen structure
- References [2]
- Comments [0]
- Validations
- Western blot [1]
- Immunocytochemistry [1]
- Immunohistochemistry [1]
- Flow cytometry [1]
Submit
Validation data
Reference
Comment
Report error
- Product number
- ABIN969377 - Provider product page

- Provider
- antibodies-online
- Product name
- anti-RAB25, Member RAS Oncogene Family (RAB25) antibody
- Antibody type
- Monoclonal
- Description
- Ascites
- Reactivity
- Human, Mouse
- Host
- Mouse
- Isotype
- IgG
- Antibody clone number
- 3F12
- Vial size
- 100 μL
- Storage
- 4°C, -20°C for long term storage
Submitted references Regulation of vesicle trafficking in madin-darby canine kidney cells by Rab11a and Rab25.
Identification of a small GTP-binding protein, Rab25, expressed in the gastrointestinal mucosa, kidney, and lung.
Wang X, Kumar R, Navarre J, Casanova JE, Goldenring JR
The Journal of biological chemistry 2000 Sep 15;275(37):29138-46
The Journal of biological chemistry 2000 Sep 15;275(37):29138-46
Identification of a small GTP-binding protein, Rab25, expressed in the gastrointestinal mucosa, kidney, and lung.
Goldenring JR, Shen KR, Vaughan HD, Modlin IM
The Journal of biological chemistry 1993 Sep 5;268(25):18419-22
The Journal of biological chemistry 1993 Sep 5;268(25):18419-22
No comments: Submit comment
Supportive validation
- Submitted by
- antibodies-online (provider)
- Main image

- Experimental details
- WB
Supportive validation
- Submitted by
- antibodies-online (provider)
- Main image

- Experimental details
- ICC
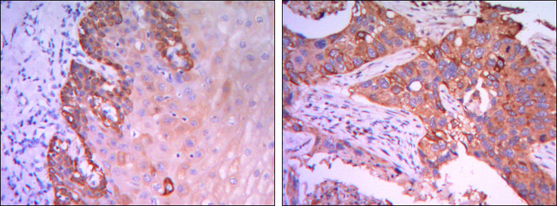
Supportive validation
- Submitted by
- antibodies-online (provider)
- Main image

- Experimental details
- IHC
Supportive validation
- Submitted by
- antibodies-online (provider)
- Main image

- Experimental details
- FACS