Antibody data
- Antibody Data
- Antigen structure
- References [3]
- Comments [0]
- Validations
- Western blot [1]
- Immunohistochemistry [3]
Submit
Validation data
Reference
Comment
Report error
- Product number
- NB120-3516 - Provider product page

- Provider
- Novus Biologicals
- Proper citation
- Novus Cat#NB120-3516, RRID:AB_2071342
- Product name
- Rabbit Polyclonal Calsequestrin 1 Antibody
- Antibody type
- Polyclonal
- Description
- Unpurified. This detects Calsequestrin. It recognizes both cardiac and skeletal muscle Calsequestrin.
- Reactivity
- Human, Mouse, Rat, Canine, Sheep
- Host
- Rabbit
- Isotype
- IgG
- Vial size
- 100uL
- Storage
- Store at -20C. Avoid freeze-thaw cycles.
Submitted references Attenuation of the unfolded protein response and endoplasmic reticulum stress after mechanical unloading in dilated cardiomyopathy.
Improved function of the failing rat heart by regulated expression of insulin-like growth factor I via intramuscular gene transfer.
Pseudopodial actin dynamics control epithelial-mesenchymal transition in metastatic cancer cells.
Castillero E, Akashi H, Pendrak K, Yerebakan H, Najjar M, Wang C, Naka Y, Mancini D, Sweeney HL, D Armiento J, Ali ZA, Schulze PC, George I
American journal of physiology. Heart and circulatory physiology 2015 Aug 1;309(3):H459-70
American journal of physiology. Heart and circulatory physiology 2015 Aug 1;309(3):H459-70
Improved function of the failing rat heart by regulated expression of insulin-like growth factor I via intramuscular gene transfer.
Lai NC, Tang T, Gao MH, Saito M, Miyanohara A, Hammond HK
Human gene therapy 2012 Mar;23(3):255-61
Human gene therapy 2012 Mar;23(3):255-61
Pseudopodial actin dynamics control epithelial-mesenchymal transition in metastatic cancer cells.
Shankar J, Messenberg A, Chan J, Underhill TM, Foster LJ, Nabi IR
Cancer research 2010 May 1;70(9):3780-90
Cancer research 2010 May 1;70(9):3780-90
No comments: Submit comment
Supportive validation
- Submitted by
- Novus Biologicals (provider)
- Main image

- Experimental details
- Western Blot: Calsequestrin 1 Antibody [NB120-3516] - Analysis of 25 ug of RD (Lane 1), L6 (Lane 2) and mouse heart (Lane 3) cell lysates.
Supportive validation
- Submitted by
- Novus Biologicals (provider)
- Main image

- Experimental details
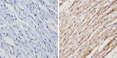
- Immunohistochemistry-Paraffin: Calsequestrin 1 Antibody [NB120-3516] - Analysis showing positive staining in the cytoplasm of paraffin-treated Mouse heart tissue (right) compared with a negative control in the absence of primary antibody (left).
- Submitted by
- Novus Biologicals (provider)
- Main image

- Experimental details
- Immunohistochemistry-Paraffin: Calsequestrin 1 Antibody [NB120-3516] - Analysis showing positive staining in the cytoplasm of Human skeletal muscle (right) compared with a negative control in the absence of primary antibody (left).
- Submitted by
- Novus Biologicals (provider)
- Main image

- Experimental details
- Immunohistochemistry-Paraffin: Calsequestrin 1 Antibody [NB120-3516] - Analysis showing positive staining in the cytoplasm of Human heart tissue (right) compared with a negative control in the absence of primary antibody (left).