Antibody data
- Antibody Data
- Antigen structure
- References [0]
- Comments [0]
- Validations
- Western blot [1]
- Immunohistochemistry [2]
Submit
Validation data
Reference
Comment
Report error
- Product number
- NBP1-76782 - Provider product page

- Provider
- Novus Biologicals
- Proper citation
- Novus Cat#NBP1-76782, RRID:AB_11008829
- Product name
- Rabbit Polyclonal IRAK3 Antibody
- Antibody type
- Polyclonal
- Description
- Peptide affinity purified. IRAK-M antibody is predicted to have no cross reactivity to other members of the IRAK family.
- Reactivity
- Human, Mouse, Rat
- Host
- Rabbit
- Isotype
- IgG
- Vial size
- 0.1 mg
- Concentration
- 1 mg/ml
- Storage
- Store at 4C short term. Aliquot and store at -20C long term. Avoid freeze-thaw cycles.
No comments: Submit comment
Supportive validation
- Submitted by
- Novus Biologicals (provider)
- Main image

- Experimental details
- Western Blot: IRAK3 Antibody [NBP1-76782] - Analysis of IRAK3 in mouse spleen (M) and rat liver (R) tissue lysates with IRAK3 antibody using this antibody at 1 ug/ml.
Supportive validation
- Submitted by
- Novus Biologicals (provider)
- Main image

- Experimental details
- Immunohistochemistry-Paraffin: IRAK3 Antibody [NBP1-76782] - Immunohistochemical staining of rat liver cells using IRAK3 antibody at 2 ug/ml.
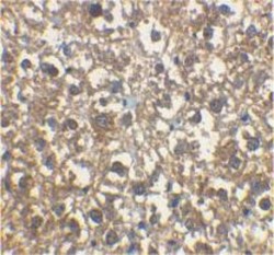
- Submitted by
- Novus Biologicals (provider)
- Main image

- Experimental details
- Immunohistochemistry-Paraffin: IRAK3 Antibody [NBP1-76782] - Staining of human spleen tissue with antibody at 5 ug/mL.