Antibody data
- Antibody Data
- Antigen structure
- References [0]
- Comments [0]
- Validations
- Western blot [2]
- Immunohistochemistry [1]
Submit
Validation data
Reference
Comment
Report error
- Product number
- ARG54849 - Provider product page

- Provider
- Arigo
- Product name
- anti-DYRK2 antibody
- Antibody type
- Polyclonal
- Antigen
- KLH-conjugated synthetic peptide around aa. 105-135 (N-terminus) of Human DYRK2.
- Description
- Purification with Protein G.
- Reactivity
- Human
- Host
- Rabbit
- Isotype
- IgG
- Vial size
- 200 µl
- Storage
- For continuous use, store undiluted antibody at 2-8°C for up to 6 months. For long-term storage, aliquot and store at -20°C. Storage in frost free freezers is not recommended. Avoid repeated freeze/thaw cycles. The antibody solution should be gently mixed before use.
- Handling
- The antibody solution should be gently mixed before use.
No comments: Submit comment
Supportive validation
- Submitted by
- Arigo (provider)
- Main image

- Experimental details
- Western blot: 293 cell lysate stained with ARG54849 anti-DYRK2 antibody.
- Submitted by
- Arigo (provider)
- Main image

- Experimental details
- Western blot: 20 µg of 293 cell line stained with ARG54849 anti-DYRK2 antibody at 1:1000 dilution.
Supportive validation
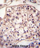
- Submitted by
- Arigo (provider)
- Main image

- Experimental details
- Immunohistochemistry: formalin fixed and paraffin embedded human testis tissue stained with ARG54849 anti-DYRK2 antibody.