Antibody data
- Antibody Data
- Antigen structure
- References [0]
- Comments [0]
- Validations
- Western blot [1]
- Immunocytochemistry [1]
- Immunohistochemistry [8]
Submit
Validation data
Reference
Comment
Report error
- Product number
- NBP1-89516 - Provider product page

- Provider
- Novus Biologicals
- Proper citation
- Novus Cat#NBP1-89516, RRID:AB_11038732
- Product name
- Rabbit Polyclonal DYRK2 Antibody
- Antibody type
- Polyclonal
- Description
- Immunogen affinity purified. Specificity of human DYRK2 antibody verified on a Protein Array containing target protein plus 383 other non-specific proteins.
- Reactivity
- Human
- Host
- Rabbit
- Isotype
- IgG
- Vial size
- 0.1 ml
- Storage
- Store at 4C short term. Aliquot and store at -20C long term. Avoid freeze-thaw cycles.
No comments: Submit comment
Supportive validation
- Submitted by
- Novus Biologicals (provider)
- Main image

- Experimental details
- Western Blot: DYRK2 Antibody [NBP1-89516] - Analysis in human cell line RT-4.
Supportive validation
- Submitted by
- Novus Biologicals (provider)
- Main image

- Experimental details
- Immunocytochemistry/Immunofluorescence
Supportive validation
- Submitted by
- Novus Biologicals (provider)
- Main image

- Experimental details
- Immunohistochemistry-Paraffin: DYRK2 Antibody [NBP1-89516] - Staining of human liver shows strong cytoplasmic positivity in hepatocytes.
- Submitted by
- Novus Biologicals (provider)
- Main image

- Experimental details
- Immunohistochemistry-Paraffin: DYRK2 Antibody [NBP1-89516] - Staining of human cerebral cortex shows no positivity in neurons.
- Submitted by
- Novus Biologicals (provider)
- Main image

- Experimental details
- Immunohistochemistry-Paraffin: DYRK2 Antibody [NBP1-89516] - Staining of human stomach shows moderate cytoplasmic positivity in glandular cells.
- Submitted by
- Novus Biologicals (provider)
- Main image

- Experimental details
- Immunohistochemistry-Paraffin: DYRK2 Antibody [NBP1-89516] - Staining of human small intestine shows moderate cytoplasmic positivity in glandular cells.
- Submitted by
- Novus Biologicals (provider)
- Main image

- Experimental details
- Immunohistochemistry-Paraffin: DYRK2 Antibody [NBP1-89516] - Staining of human testis shows strong nuclear and moderate cytoplasmic positivity in Leydig cells.
- Submitted by
- Novus Biologicals (provider)
- Main image

- Experimental details
- Immunohistochemistry-Paraffin: DYRK2 Antibody [NBP1-89516] - Staining of human placenta shows strong nuclear positivity in trophoblastic cells.
- Submitted by
- Novus Biologicals (provider)
- Main image

- Experimental details
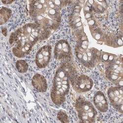
- Immunohistochemistry-Paraffin: DYRK2 Antibody [NBP1-89516] - Staining of human small intestine shows strong nuclear and moderate cytoplasmic positivity in glandular cells.
- Submitted by
- Novus Biologicals (provider)
- Main image

- Experimental details
- Immunohistochemistry-Paraffin: DYRK2 Antibody [NBP1-89516] - Staining of human kidney shows strong cytoplasmic positivity in cells in tubules.