959-MSM1-P0
antibody from Invitrogen Antibodies
Targeting: CD40LG
CD154, CD40L, gp39, hCD40L, HIGM1, IMD3, TNFSF5, TRAP
Antibody data
- Antibody Data
- Antigen structure
- References [0]
- Comments [0]
- Validations
- Immunocytochemistry [1]
- Immunohistochemistry [3]
- Flow cytometry [1]
- Other assay [2]
Submit
Validation data
Reference
Comment
Report error
- Product number
- 959-MSM1-P0 - Provider product page

- Provider
- Invitrogen Antibodies
- Product name
- CD40 Ligand/CD154/TRAP1 (Activation Marker of T-Lymphocytes) Monoclonal Antibody (CD40LG, 2761)
- Antibody type
- Monoclonal
- Antigen
- Recombinant protein fragment
- Reactivity
- Human
- Host
- Mouse
- Isotype
- IgG
- Antibody clone number
- CD40LG, 2761
- Vial size
- 20 µg
- Concentration
- 200 µg/mL
- Storage
- 4° C
No comments: Submit comment
Supportive validation
- Submitted by
- Invitrogen Antibodies (provider)
- Main image

- Experimental details
- Immunocytochemistry/Immunofluorescence analysis of paraformaldehyde-fixed Jurkat cells using CD40 Ligand, CD154, TRAP1 (Activation Marker of T-Lymphocytes) Monoclonal Antibody (Product # 959-MSM1-P1) followed by goat anti-Mouse IgG conjugated to CF488 (green). Nuclei are stained with Reddot..
Supportive validation
- Submitted by
- Invitrogen Antibodies (provider)
- Main image

- Experimental details
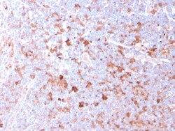
- Immunohistochemistry (Paraffin) analysis performed in formalin fixed, paraffin-embedded human spleen using CD40 Ligand, CD154, TRAP1 (Activation Marker of T-Lymphocytes) Monoclonal Antibody (Product # 959-MSM1-P1).
- Submitted by
- Invitrogen Antibodies (provider)
- Main image

- Experimental details
- Immunohistochemistry (Paraffin) analysis performed in formalin fixed, paraffin-embedded human spleen using CD40 Ligand, CD154, TRAP1 (Activation Marker of T-Lymphocytes) Monoclonal Antibody (Product # 959-MSM1-P1).
- Submitted by
- Invitrogen Antibodies (provider)
- Main image

- Experimental details
- Immunohistochemistry (Paraffin) analysis performed in formalin fixed, paraffin-embedded human tonsil using CD40 Ligand, CD154, TRAP1 (Activation Marker of T-Lymphocytes) Monoclonal Antibody (Product # 959-MSM1-P1).
Supportive validation
- Submitted by
- Invitrogen Antibodies (provider)
- Main image

- Experimental details
- Flow Cytometry analysis of Jurkat cells using CD40 Ligand, CD154, TRAP1 (Activation Marker of T-Lymphocytes) Monoclonal Antibody (Product # 959-MSM1-P1) followed by Goat anti-Mouse IgG-CF488 (Blue); Isotype Control (Red).
Supportive validation
- Submitted by
- Invitrogen Antibodies (provider)
- Main image

- Experimental details
- Analysis of Protein Array containing more than 19,000 full-length human proteins CD40 Ligand, CD154, TRAP1 (Activation Marker of T-Lymphocytes) Monoclonal Antibody (Product # 959-MSM1-P1). Z- and S- Score: The Z-score represents the strength of a signal that a monoclonal antibody (MAb) (in combination with a fluorescently-tagged anti-IgG secondary antibody) produces when binding to a particular protein on the HuProtTM array. Z-scores are described in units of standard deviations (SDís) above the mean value of all signals generated on that array. If targets on HuProtTM are arranged in descending order of the Z-score, the S-score is the difference (also in units of SDís) between the Z-score. S-score therefore represents the relative target specificity of a MAb to its intended target. A MAb is considered to specific to its intended target, if the MAb has an S-score of at least 2.5. For example, if a MAb binds to protein X with a Z-score of 43 and to protein Y with a Z-score of 14, then the S-score for the binding of that MAb to protein X is equal to 29.
- Submitted by
- Invitrogen Antibodies (provider)
- Main image

- Experimental details
- SDS-PAGE Analyis Purified CD40 Ligand, CD154, TRAP1 (Activation Marker of T-Lymphocytes) Monoclonal Antibody (Product # 959-MSM1-P1). Confirmation of Purity and Integrity of Antibody.