Antibody data
- Antibody Data
- Antigen structure
- References [0]
- Comments [0]
- Validations
- Immunohistochemistry [1]
Submit
Validation data
Reference
Comment
Report error
- Product number
- AF7574-100 - Provider product page

- Provider
- R&D Systems
- Product name
- Human Acetylcholinesterase/ACHE Antibody
- Antibody type
- Polyclonal
- Description
- Antigen Affinity-purified. Detects human ACHE in direct ELISAs.
- Reactivity
- Human
- Host
- Sheep
- Conjugate
- Unconjugated
- Antigen sequence
P22303- Isotype
- IgG
- Vial size
- 100 ug
- Storage
- Use a manual defrost freezer and avoid repeated freeze-thaw cycles. 12 months from date of receipt, -20 to -70 °C as supplied. 1 month, 2 to 8 °C under sterile conditions after reconstitution. 6 months, -20 to -70 °C under sterile conditions after reconstitution.
No comments: Submit comment
Supportive validation
- Submitted by
- R&D Systems (provider)
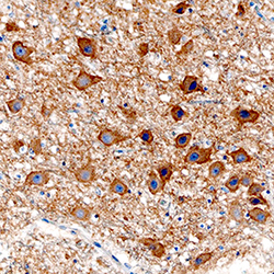
- Main image

- Experimental details
- Acetylcholinesterase/ACHE in Human Brain. Acetylcholinesterase/ACHE was detected in immersion fixed paraffin-embedded sections of human brain (substantia nigra) using Sheep Anti-Human Acetylcholinesterase/ACHE Antigen Affinity-purified Polyclonal Antibody (Catalog # AF7574) at 3 µg/mL overnight at 4 °C. Tissue was stained using the Anti-Sheep HRP-DAB Cell & Tissue Staining Kit (brown; Catalog # CTS019) and counterstained with hematoxylin (blue). Specific staining was localized to cytoplasm in neurons. View our protocol for Chromogenic IHC Staining of Paraffin-embedded Tissue Sections.