Antibody data
- Antibody Data
- Antigen structure
- References [0]
- Comments [0]
- Validations
- Western blot [1]
- Immunohistochemistry [3]
Submit
Validation data
Reference
Comment
Report error
- Product number
- R30269 - Provider product page

- Provider
- NSJ Bioreagents
- Product name
- Lamin A/C Antibody
- Antibody type
- Polyclonal
- Description
- This highly specific Lamin A/C antibody is suitable for use in Western blot/Immunohistochemistry/Immunocytochemistry applications with human, mouse and rat samples.
- Reactivity
- Human, Mouse, Rat
- Host
- Rabbit
- Conjugate
- Unconjugated
- Vial size
- 100 ug
- Concentration
- 0.5mg/ml if reconstituted with 0.2ml sterile DI water
- Storage
- After reconstitution, the Lamin A/C antibody can be stored for up to one month at 4oC. For long-term, aliquot and store at -20oC. Avoid repeated freezing and thawing.
No comments: Submit comment
Supportive validation
- Submitted by
- NSJ Bioreagents (provider)
- Main image

- Experimental details
- Western blot testing of Lamin A/C antibody and Lane 1: HeLa; 2: A431 cell lysate
Supportive validation
- Submitted by
- NSJ Bioreagents (provider)
- Main image

- Experimental details
- IHC-P: Lamin A/C antibody testing of human lung cancer tissue
- Submitted by
- NSJ Bioreagents (provider)
- Main image

- Experimental details
- IHC-P: Lamin A/C antibody testing of mouse intestine tissue
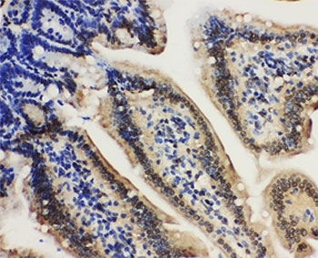
- Submitted by
- NSJ Bioreagents (provider)
- Main image

- Experimental details
- IHC-P: Lamin A/C antibody testing of rat intestine tissue