Antibody data
- Antibody Data
- Antigen structure
- References [0]
- Comments [0]
- Validations
- Western blot [1]
- Immunohistochemistry [1]
Submit
Validation data
Reference
Comment
Report error
- Product number
- GTX114073 - Provider product page

- Provider
- GeneTex
- Proper citation
- GeneTex Cat#GTX114073, RRID:AB_10620339
- Product name
- GBA antibody
- Antibody type
- Polyclonal
- Reactivity
- Human
- Host
- Rabbit
No comments: Submit comment
Supportive validation
- Submitted by
- GeneTex (provider)
- Main image

- Experimental details
- GBA antibody detects GBA protein by Western blot analysis.A. 30 ?g HepG2 whole cell lysate/extract 10 % SDS-PAGEGBA antibody (GTX114073) dilution: 1:1000
Supportive validation
- Submitted by
- GeneTex (provider)
- Main image

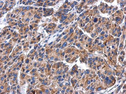
- Experimental details
- Immunohistochemical analysis of paraffin-embedded human hepatoma, using GBA(GTX114073) antibody at 1:500 dilution.