RQ6026
antibody from NSJ Bioreagents
Targeting: PRDX6
1-Cys, aiPLA2, AOP2, KIAA0106, MGC46173, NSGPx, p29, PRX
Antibody data
- Antibody Data
- Antigen structure
- References [0]
- Comments [0]
- Validations
- Western blot [1]
- Immunocytochemistry [1]
- Immunohistochemistry [1]
- Flow cytometry [1]
Submit
Validation data
Reference
Comment
Report error
- Product number
- RQ6026 - Provider product page

- Provider
- NSJ Bioreagents
- Product name
- Peroxiredoxin 6 Antibody
- Antibody type
- Monoclonal
- Description
- This highly specific Peroxiredoxin 6 antibody is suitable for use in Western blot/Immunohistochemistry/Immunofluorescence/Flow cytometry applications with human and rat samples.
- Reactivity
- Human, Rat
- Host
- Mouse
- Conjugate
- Unconjugated
- Antibody clone number
- 6I8
- Vial size
- 100 ug
- Concentration
- 0.5mg/ml if reconstituted with 0.2ml sterile DI water
- Storage
- After reconstitution, the Peroxiredoxin 6 antibody can be stored for up to one month at 4oC. For long-term, aliquot and store at -20oC. Avoid repeated freezing and thawing.
No comments: Submit comment
Supportive validation
- Submitted by
- NSJ Bioreagents (provider)
- Main image

- Experimental details
- Western blot testing of human 1) HeLa, 2) Jurkat, 3) HEK293, 4) K562, 5) SW620 and 6) mouse RH35 antibody with Peroxiredoxin 6 antibody. Expected molecular weight: ~25 kDa.
Supportive validation
- Submitted by
- NSJ Bioreagents (provider)
- Main image

- Experimental details
- Immunofluorescent staining of FFPE human A549 cells with Peroxiredoxin 6 antibody (red) and DAPI nuclear stain (blue). HIER: steam section in pH6 citrate buffer for 20 min.
Supportive validation
- Submitted by
- NSJ Bioreagents (provider)
- Main image

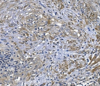
- Experimental details
- IHC staining of FFPE human endometrial carcinoma cancer with Peroxiredoxin 6 antibody. HIER: boil tissue sections in pH8 EDTA for 20 min and allow to cool before testing.
Supportive validation
- Submitted by
- NSJ Bioreagents (provider)
- Main image

- Experimental details
- Flow cytometry testing of human HeLa cells with Peroxiredoxin 6 antibody at 1ug/million cells (blocked with goat sera); Red=cells alone, Green=isotype control, Blue= Peroxiredoxin 6 antibody.