Antibody data
- Antibody Data
- Antigen structure
- References [0]
- Comments [0]
- Validations
- Western blot [1]
- Immunohistochemistry [1]
Submit
Validation data
Reference
Comment
Report error
- Product number
- LS-C830843 - Provider product page

- Provider
- LSBio
- Product name
- DHX58 / LGP2 Antibody LS-C830843
- Antibody type
- Polyclonal
- Description
- Antigen Affinity purification
- Reactivity
- Human, Rat
- Host
- Rabbit
- Isotype
- IgG
- Storage
- Store at -20°C. Avoid freeze-thaw cycles.
No comments: Submit comment
Enhanced validation
- Submitted by
- LSBio (provider)
- Enhanced method
- Genetic validation
- Main image

- Experimental details
- Western blot analysis of Rat liver tissue lysate using DHX58 Polyclonal Antibody at dilution of 1:800
Supportive validation
- Submitted by
- LSBio (provider)
- Enhanced method
- Genetic validation
- Main image

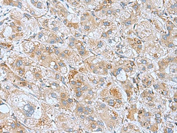
- Experimental details
- Immunohistochemistry of paraffin-embedded Human liver cancer tissue using DHX58 Polyclonal Antibody at dilution of 1:60(×200)