Antibody data
- Antibody Data
- Antigen structure
- References [0]
- Comments [0]
- Validations
- Western blot [4]
- Immunohistochemistry [4]
- Other assay [1]
Submit
Validation data
Reference
Comment
Report error
- Product number
- V3295 - Provider product page

- Provider
- NSJ Bioreagents
- Product name
- Galectin 13 Antibody / LGALS13
- Antibody type
- Monoclonal
- Description
- This highly specific Galectin 13 antibody is suitable for use in Flow cytometry/Immunofluorescence/Western blot/Immunohistochemistry applications with human samples.
- Reactivity
- Human
- Host
- Mouse
- Conjugate
- Unconjugated
- Antibody clone number
- PP13/1161
- Vial size
- 20 ug (with BSA and sodium azide), 100 ug (with BSA and sodium azide), 100 ug (without BSA or sodium azide), 7 ml IHC only format (if applicable)
- Concentration
- 0.2 mg/ml, 1 mg/ml
- Storage
- Store the Galectin 13 antibody at 2-8oC (with azide) or aliquot and store at -20oC or colder (without azide).
No comments: Submit comment
Supportive validation
- Submitted by
- NSJ Bioreagents (provider)
- Main image

- Experimental details
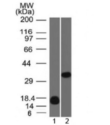
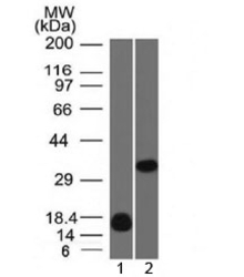
- Western blot testing of 1) human partial recombinant protein and 2) human K562 cell lysate with Galectin 13 antibody (clone PP13/1161). Expected molecular weight ~16 kDa (monomer) and ~32 kDa (dimer).
- Submitted by
- NSJ Bioreagents (provider)
- Main image

- Experimental details
- Western blot testing of 1) human partial recombinant protein and 2) human K562 cell lysate with Galectin 13 antibody (clone PP13/1161). Expected molecular weight ~16 kDa (monomer) and ~32 kDa (dimer).
- Submitted by
- NSJ Bioreagents (provider)
- Main image

- Experimental details
- Western blot testing of human K562 cell lysate with Galectin 13 antibody (clone PP13/1161). Expected molecular weight ~16 kDa (monomer) and ~32 kDa (dimer).
- Submitted by
- NSJ Bioreagents (provider)
- Main image

- Experimental details
- Western blot testing of human placental tissue lysate with Galectin 13 antibody (clone PP13/1161). Expected molecular weight ~16 kDa (monomer) and ~32 kDa (dimer).
Supportive validation
- Submitted by
- NSJ Bioreagents (provider)
- Main image

- Experimental details
- IHC testing of FFPE human placenta with Galectin 13 antibody (clone PP13/1161). Required HIER: boil tissue sections in 10mM Tris with 1mM EDTA, pH 9 or 10mM Citrate buffer, pH 6, for 10-20.
- Submitted by
- NSJ Bioreagents (provider)
- Main image

- Experimental details
- IHC testing of FFPE human spleen with Galectin 13 antibody (clone PP13/1161). Required HIER: boil tissue sections in 10mM Tris with 1mM EDTA, pH 9 or 10mM Citrate buffer, pH 6, for 10-20.
- Submitted by
- NSJ Bioreagents (provider)
- Main image

- Experimental details
- IHC testing of FFPE human placenta with Galectin 13 antibody (clone PP13/1161). Required HIER: boil tissue sections in 10mM Tris with 1mM EDTA, pH 9 or 10mM Citrate buffer, pH 6, for 10-20.
- Submitted by
- NSJ Bioreagents (provider)
- Main image

- Experimental details
- IHC testing of FFPE human spleen with Galectin 13 antibody (clone PP13/1161). Required HIER: boil tissue sections in 10mM Tris with 1mM EDTA, pH 9 or 10mM Citrate buffer, pH 6, for 10-20.
Supportive validation
- Submitted by
- NSJ Bioreagents (provider)
- Main image

- Experimental details
- SDS-PAGE analysis of purified, BSA-free Galectin 13 antibody (clone PP13/1161) as confirmation of integrity and purity.