Antibody data
- Antibody Data
- Antigen structure
- References [0]
- Comments [0]
- Validations
- Immunohistochemistry [1]
Submit
Validation data
Reference
Comment
Report error
- Product number
- V3338 - Provider product page

- Provider
- NSJ Bioreagents
- Product name
- Galectin 13 Antibody / LGALS13
- Antibody type
- Monoclonal
- Description
- This highly specific Galectin 13 antibody is suitable for use in ELISA/Flow cytometry/Immunofluorescence/Immunohistochemistry applications with human samples.
- Reactivity
- Human
- Host
- Mouse
- Conjugate
- Unconjugated
- Antibody clone number
- PP13/1164
- Vial size
- 20 ug (with BSA and sodium azide), 100 ug (with BSA and sodium azide), 100 ug (without BSA or sodium azide), 7 ml IHC only format (if applicable)
- Concentration
- 0.2 mg/ml, 1 mg/ml
- Storage
- Store the Galectin 13 antibody at 2-8oC (with azide) or aliquot and store at -20oC or colder (without azide).
No comments: Submit comment
Supportive validation
- Submitted by
- NSJ Bioreagents (provider)
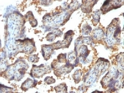
- Main image

- Experimental details
- IHC testing of FFPE human placenta with Galectin 13 antibody (clone PP13/1164). Required HIER: boil tissue sections in 10mM Tris with 1mM EDTA, pH 9 or 10mM Citrate buffer, pH 6, for 10-20.