Antibody data
- Antibody Data
 - Antigen structure
 - References [0]
 - Comments [0]
 - Validations
 - Western blot [2]
 - Immunocytochemistry [1]
 - Immunohistochemistry [6]
 - Flow cytometry [1]
 
Submit
Validation data
Reference
Comment
Report error
- Product number
 - TA503860 - Provider product page

 - Provider
 - OriGene
 - Proper citation
 - OriGene Cat#TA503860, RRID:AB_11125054
 - Product name
 - NAPEPLD (NAPE-PLD) mouse monoclonal antibody, clone OTI5F7 (formerly 5F7)
 - Antibody type
 - Monoclonal
 - Description
 - NAPEPLD (NAPE-PLD) mouse monoclonal antibody, clone OTI5F7 (formerly 5F7)
 - Host
 - Mouse
 - Conjugate
 - Unconjugated
 - Epitope
 - NAPEPLD
 - Isotype
 - IgG
 - Antibody clone number
 - OTI5F7
 - Vial size
 - 100 µl
 - Concentration
 - 0.71 mg/ml
 
				No comments: Submit comment	
	
			
							
					Supportive validation
					
									
				
				- Submitted by
 - OriGene (provider)
 - Main image
 
- Experimental details
 - HEK293T cells were transfected with the pCMV6-ENTRY control (Left lane) or pCMV6-ENTRY NAPEPLD (RC209877, Right lane) cDNA for 48 hrs and lysed. Equivalent amounts of cell lysates (5 ug per lane) were separated by SDS-PAGE and immunoblotted with anti-NAPEPLD.
 - Validation comment
 - WB
 
- Submitted by
 - OriGene (provider)
 - Main image
 
- Experimental details
 - Western blot analysis of extracts (35ug) from 9 different cell lines by using anti-NAPEPLD monoclonal antibody (HepG2: human; HeLa: human; SVT2: mouse; A549: human; COS7: monkey; Jurkat: human; MDCK: canine; PC12: rat; MCF7: human).(1:200)
 - Validation comment
 - WB
 
							
					Supportive validation
					
									
				
				- Submitted by
 - OriGene (provider)
 - Main image
 
- Experimental details
 - Anti-NAPEPLD mouse monoclonal antibody (TA503860) immunofluorescent staining of COS7 cells transiently transfected by pCMV6-ENTRY NAPEPLD(RC209877).
 - Validation comment
 - IF
 
							
					Supportive validation
					
									
				
				- Submitted by
 - OriGene (provider)
 - Main image
 
- Experimental details
 - Immunohistochemical staining of paraffin-embedded Human endometrium tissue within the normal limits using anti-NAPEPLD mouse monoclonal antibody. (Heat-induced epitope retrieval by 10mM citric buffer, pH6.0, 100C for 10min, TA503860)
 - Validation comment
 - IHC
 
- Submitted by
 - OriGene (provider)
 - Main image
 
- Experimental details
 - Immunohistochemical staining of paraffin-embedded Human tonsil within the normal limits using anti-NAPEPLD mouse monoclonal antibody. (Heat-induced epitope retrieval by 10mM citric buffer, pH6.0, 100C for 10min, TA503860)
 - Validation comment
 - IHC
 
- Submitted by
 - OriGene (provider)
 - Main image
 
- Experimental details
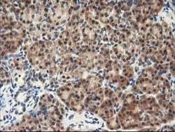
 - Immunohistochemical staining of paraffin-embedded Human pancreas tissue within the normal limits using anti-NAPEPLD mouse monoclonal antibody. (Heat-induced epitope retrieval by 10mM citric buffer, pH6.0, 100C for 10min, TA503860)
 - Validation comment
 - IHC
 
- Submitted by
 - OriGene (provider)
 - Main image
 
- Experimental details
 - Immunohistochemical staining of paraffin-embedded Human lymphoma tissue using anti-NAPEPLD mouse monoclonal antibody. (Heat-induced epitope retrieval by 10mM citric buffer, pH6.0, 100C for 10min, TA503860)
 - Validation comment
 - IHC
 
- Submitted by
 - OriGene (provider)
 - Main image
 
- Experimental details
 - Immunohistochemical staining of paraffin-embedded Adenocarcinoma of Human endometrium tissue using anti-NAPEPLD mouse monoclonal antibody. (Heat-induced epitope retrieval by 10mM citric buffer, pH6.0, 100C for 10min, TA503860)
 - Validation comment
 - IHC
 
- Submitted by
 - OriGene (provider)
 - Main image
 
- Experimental details
 - Immunohistochemical staining of paraffin-embedded Human Kidney tissue within the normal limits using anti-NAPEPLD mouse monoclonal antibody. (Heat-induced epitope retrieval by 10mM citric buffer, pH6.0, 100C for 10min, TA503860)
 - Validation comment
 - IHC
 
							
					Supportive validation
					
									
				
		- Submitted by
 - OriGene (provider)
 - Main image
 
- Experimental details
 - HEK293T cells transfected with either RC209877 overexpress plasmid(Red) or empty vector control plasmid(Blue) were immunostained by anti-NAPEPLD antibody(TA503860), and then analyzed by flow cytometry.
 - Validation comment
 - FC