Antibody data
- Antibody Data
 - Antigen structure
 - References [0]
 - Comments [0]
 - Validations
 - Western blot [1]
 - Immunohistochemistry [7]
 
Submit
Validation data
Reference
Comment
Report error
- Product number
 - LS-C786640 - Provider product page

 - Provider
 - LSBio
 - Product name
 - NAPE-PLD Antibody (clone OTI7B9, Carrier-free) LS-C786640
 - Antibody type
 - Monoclonal
 - Description
 - Purified from ascites.
 - Reactivity
 - Human
 - Host
 - Mouse
 - Isotype
 - IgG
 - Antibody clone number
 - OTI7B9
 - Storage
 - Store at -20°C. Avoid freeze-thaw cycles.
 
				No comments: Submit comment	
	
			
							
					Enhanced validation
					
									
				
				- Submitted by
 - LSBio (provider)
 - Enhanced method
 - Genetic validation
 - Main image
 
- Experimental details
 - HEK293T cells were transfected with the pCMV6-ENTRY control (Left lane) or pCMV6-ENTRY NAPEPLD (Right lane) cDNA for 48 hrs and lysed. Equivalent amounts of cell lysates (5 ug per lane) were separated by SDS-PAGE and immunoblotted with anti-NAPEPLD.
 
							
					Enhanced validation
					
									
				
		- Submitted by
 - LSBio (provider)
 - Enhanced method
 - Genetic validation
 - Main image
 
- Experimental details
 - IHC of paraffin-embedded Human Kidney tissue using anti-NAPEPLD mouse monoclonal antibody.
 
- Submitted by
 - LSBio (provider)
 - Enhanced method
 - Genetic validation
 - Main image
 
- Experimental details
 - IHC of paraffin-embedded Human Kidney tissue using anti-NAPEPLD mouse monoclonal antibody.
 
- Submitted by
 - LSBio (provider)
 - Enhanced method
 - Genetic validation
 - Main image
 
- Experimental details
 - IHC of paraffin-embedded Adenocarcinoma of Human endometrium tissue using anti-NAPEPLD mouse monoclonal antibody.
 
- Submitted by
 - LSBio (provider)
 - Enhanced method
 - Genetic validation
 - Main image
 
- Experimental details
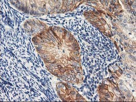
 - IHC of paraffin-embedded Human colon tissue using anti-NAPEPLD mouse monoclonal antibody.
 
- Submitted by
 - LSBio (provider)
 - Main image
 
- Experimental details
 - IHC of paraffin-embedded Human colon tissue using anti-NAPEPLD mouse monoclonal antibody.
 
- Submitted by
 - LSBio (provider)
 - Main image
 
- Experimental details
 - IHC of paraffin-embedded Human Kidney tissue using anti-NAPEPLD mouse monoclonal antibody.
 
- Submitted by
 - LSBio (provider)
 - Main image
 
- Experimental details
 - IHC of paraffin-embedded Adenocarcinoma of Human endometrium tissue using anti-NAPEPLD mouse monoclonal antibody.