Antibody data
- Antibody Data
- Antigen structure
- References [0]
- Comments [0]
- Validations
- Western blot [2]
- ELISA [1]
- Immunohistochemistry [1]
Submit
Validation data
Reference
Comment
Report error
- Product number
- NBP2-61870 - Provider product page

- Provider
- Novus Biologicals
- Product name
- Mouse Monoclonal SEC31A Antibody
- Antibody type
- Monoclonal
- Description
- Protein G purified.
- Reactivity
- Human
- Host
- Mouse
- Isotype
- IgG
- Vial size
- 0.1 ml
- Storage
- Store at 4C short term. Aliquot and store at -20C long term. Avoid freeze-thaw cycles.
No comments: Submit comment
Supportive validation
- Submitted by
- Novus Biologicals (provider)
- Main image

- Experimental details
- Western Blot: SEC31A Antibody (5D12C6) [NBP2-61870] - Analysis using SEC31A mAb against HEK293 (1) and SEC31A (AA: 429-571)-hIgGFc transfected HEK293 (2) cell lysate.
- Submitted by
- Novus Biologicals (provider)
- Main image

- Experimental details
- Western Blot: SEC31A Antibody (5D12C6) [NBP2-61870] - Analysis using SEC31A mAb against human SEC31A (AA: 429-571) recombinant protein. (Expected MW is 41.8 kDa)
Supportive validation
- Submitted by
- Novus Biologicals (provider)
- Main image

- Experimental details
- ELISA: SEC31A Antibody (5D12C6) [NBP2-61870] - Black line: Control Antigen (100 ng);Purple line: Antigen (10ng); Blue line: Antigen (50 ng); Red line:Antigen (100 ng)
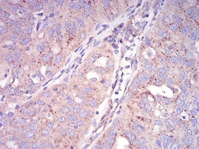
Supportive validation
- Submitted by
- Novus Biologicals (provider)
- Main image

- Experimental details
- Immunohistochemistry: SEC31A Antibody (5D12C6) [NBP2-61870] - Analysis of paraffin-embedded ovarian cancer tissues using SEC31A mouse mAb with DAB staining.