Antibody data
- Antibody Data
 - Antigen structure
 - References [0]
 - Comments [0]
 - Validations
 - Immunohistochemistry [1]
 
Submit
Validation data
Reference
Comment
Report error
- Product number
 - PAB26021 - Provider product page

 - Provider
 - Abnova Corporation
 - Product name
 - HNF4G polyclonal antibody
 - Antibody type
 - Polyclonal
 - Description
 - Rabbit polyclonal antibody raised against synthetic peptide of HNF4G.
 - Storage
 - Store at 4°C. For long term storage store at -80°C.Aliquot to avoid repeated freezing and thawing.
 
				No comments: Submit comment	
	
			
							
					Supportive validation
					
									
				
		- Submitted by
 - Abnova Corporation (provider)
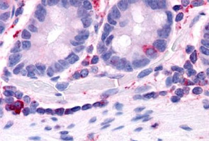
 - Main image
 
- Experimental details
 - Immunohistochemical staining of human small intestine with HNF4G polyclonal antibody (Cat # PAB26021).Immunohistochemistry of formalin-fixed, paraffin-embedded tissue after heat-induced antigen retrieval.
 - Validation comment
 - Immunohistochemistry (Formalin/PFA-fixed paraffin-embedded sections)