Antibody data
- Antibody Data
- Antigen structure
- References [0]
- Comments [0]
- Validations
- Western blot [1]
- Immunocytochemistry [2]
- Immunoprecipitation [1]
- Immunohistochemistry [4]
- Other assay [1]
Submit
Validation data
Reference
Comment
Report error
- Product number
- PA5-117875 - Provider product page

- Provider
- Invitrogen Antibodies
- Product name
- CLPP Polyclonal Antibody
- Antibody type
- Polyclonal
- Antigen
- Other
- Reactivity
- Human
- Host
- Rabbit
- Isotype
- IgG
- Vial size
- 100 μL
- Storage
- -20°C, Avoid Freeze/Thaw Cycles
No comments: Submit comment
Supportive validation
- Submitted by
- Invitrogen Antibodies (provider)
- Main image

- Experimental details
- Western Blot using CLPP Polyclonal Antibody (Product # PA5-117875) at 1:500 dilution. Lane A: A431 Whole Cell Lysate, Lane B: 293T Whole Cell Lysate, Lane C: K562. Whole Cell Lysate, Lane D: A549 Whole Cell Lysate. Lysates/proteins at 30 μg per lane. Secondary antibody: Goat Anti-Rabbit IgG (H+L)/HRP at 1:10,000 dilution. Developed using the ECL technique. Performed under reducing conditions. Predicted band size: 30 kDa. Observed band size: 26 kDa.
Supportive validation
- Submitted by
- Invitrogen Antibodies (provider)
- Main image

- Experimental details
- Immunofluorescence staining of CLPP in U251MG cells. Cells were fixed with 4% PFA, permeabilzed with 0.1% Triton X-100 in PBS, blocked with 10% serum, and incubated with CLPP Polyclonal Antibody (Product # PA5-117875, 1:200) at 4°C overnight. Then cells were stained with the Alexa Fluor®488-conjugated Goat Anti-rabbit IgG secondary antibody (green) and counterstained with DAPI (blue). Positive staining was localized to cytoplasm.
- Submitted by
- Invitrogen Antibodies (provider)
- Main image

- Experimental details
- Immunofluorescence staining of CLPP in U251MG cells. Cells were fixed with 4% PFA, permeabilzed with 0.1% Triton X-100 in PBS, blocked with 10% serum, and incubated with CLPP Polyclonal Antibody (Product # PA5-117875, 1:200) at 4°C overnight. Then cells were stained with the Alexa Fluor®488-conjugated Goat Anti-rabbit IgG secondary antibody (green) and counterstained with DAPI (blue). Positive staining was localized to cytoplasm.
Supportive validation
- Submitted by
- Invitrogen Antibodies (provider)
- Main image

- Experimental details
- CLPP Immunoprecipitation using: Lane A: 0.5 mg A549 Whole Cell Lysate 4 µL with CLPP Polyclonal Antibody (Product # PA5-117875) and 60 μg of Immunomagnetic beads Protein A/G. Primary antibody: CLPP Polyclonal Antibody, at 1:100 dilution. Secondary antibody: Goat Anti-Rabbit IgG (H+L) /HRP at 1:10,000 dilution. Developed using the ECL technique. Performed under reducing conditions. Predicted band size: 26 kDa. Observed band size: 26 kDa.
Supportive validation
- Submitted by
- Invitrogen Antibodies (provider)
- Main image

- Experimental details
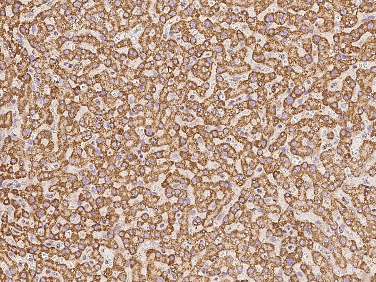
- Immunohistochemical staining of human CLPP in human liver with CLPP Polyclonal Antibody (Product # PA5-117875, 1:100 dilution, formalin-fixed paraffin embedded sections).
- Submitted by
- Invitrogen Antibodies (provider)
- Main image

- Experimental details
- Immunohistochemical staining of human CLPP in human pancreas with CLPP Polyclonal Antibody (Product # PA5-117875, 1:100 dilution, formalin-fixed paraffin embedded sections).
- Submitted by
- Invitrogen Antibodies (provider)
- Main image

- Experimental details
- Immunohistochemical staining of human CLPP in human liver with CLPP Polyclonal Antibody (Product # PA5-117875, 1:100 dilution, formalin-fixed paraffin embedded sections).
- Submitted by
- Invitrogen Antibodies (provider)
- Main image

- Experimental details
- Immunohistochemical staining of human CLPP in human pancreas with CLPP Polyclonal Antibody (Product # PA5-117875, 1:100 dilution, formalin-fixed paraffin embedded sections).
Supportive validation
- Submitted by
- Invitrogen Antibodies (provider)
- Main image

- Experimental details
- CLPP Immunoprecipitation using: Lane A: 0.5 mg A549 Whole Cell Lysate 4 µL with CLPP Polyclonal Antibody (Product # PA5-117875) and 60 μg of Immunomagnetic beads Protein A/G. Primary antibody: CLPP Polyclonal Antibody, at 1:100 dilution. Secondary antibody: Goat Anti-Rabbit IgG (H+L) /HRP at 1:10,000 dilution. Developed using the ECL technique. Performed under reducing conditions. Predicted band size: 26 kDa. Observed band size: 26 kDa.