Antibody data
- Antibody Data
- Antigen structure
- References [0]
- Comments [0]
- Validations
- Immunohistochemistry [1]
Submit
Validation data
Reference
Comment
Report error
- Product number
- OAEB00679 - Provider product page

- Provider
- Aviva Systems Biology
- Proper citation
- Aviva Systems Biology Cat#OAEB00679, RRID:AB_10885451
- Product name
- USP28 Antibody
- Antibody type
- Polyclonal
- Reactivity
- Human, Mouse, Rat, Bovine, Canine, Guinea Pig, Horse, Porcine, Rabbit
- Host
- Goat
- Vial size
- 0.1mg
- Storage
- Aliquot and store at -20°C. Minimize freezing and thawing.
No comments: Submit comment
Supportive validation
- Submitted by
- Aviva Systems Biology (provider)
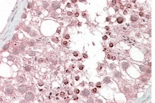
- Main image

- Experimental details
- OAEB00679 (3.8µg/ml) staining of paraffin embedded Human Testis. Steamed antigen retrieval with citrate buffer pH 6, AP-staining.
- Sample type
- Human Testis lysate
- Primary Ab dilution
- 3.8 µg/mL
- Protocol
- Protocol