Antibody data
- Antibody Data
- Antigen structure
- References [0]
- Comments [0]
- Validations
- Western blot [1]
- Immunohistochemistry [5]
Submit
Validation data
Reference
Comment
Report error
- Product number
- NBP2-75606 - Provider product page

- Provider
- Novus Biologicals
- Product name
- Rabbit Monoclonal PA28 Activator alpha Subunit/PSME1 Antibody
- Antibody type
- Monoclonal
- Description
- Protein A purified.
- Reactivity
- Human, Mouse, Rat
- Host
- Rabbit
- Isotype
- IgG
- Vial size
- 100 ul
- Storage
- Store at 4C short term. Aliquot and store at -20C long term. Avoid freeze-thaw cycles.
No comments: Submit comment
Supportive validation
- Submitted by
- Novus Biologicals (provider)
- Main image

- Experimental details
- Western Blot: PA28 Activator alpha Subunit/PSME1 Antibody (JU60-33) [NBP2-75606] - Analysis of PSME1 on MCF-7 cell (1) and rat lung tissue (2) lysate using anti-PSME1 antibody at 1/500 dilution.
Supportive validation
- Submitted by
- Novus Biologicals (provider)
- Main image

- Experimental details
- Immunohistochemistry-Paraffin: PA28 Activator alpha Subunit/PSME1 Antibody (JU60-33) [NBP2-75606] - Analysis of paraffin-embedded mouse small intestine tissue using anti-PSME1 antibody. Counter stained with hematoxylin.
- Submitted by
- Novus Biologicals (provider)
- Main image

- Experimental details
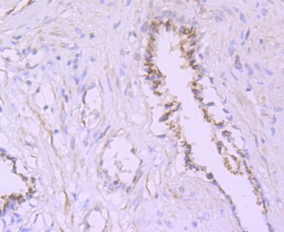
- Immunohistochemistry-Paraffin: PA28 Activator alpha Subunit/PSME1 Antibody (JU60-33) [NBP2-75606] - Analysis of paraffin-embedded human prostate tissue using anti-PSME1 antibody. Counter stained with hematoxylin.
- Submitted by
- Novus Biologicals (provider)
- Main image

- Experimental details
- Immunohistochemistry-Paraffin: PA28 Activator alpha Subunit/PSME1 Antibody (JU60-33) [NBP2-75606] - Analysis of paraffin-embedded human tonsil tissue using anti-PSME1 antibody. Counter stained with hematoxylin.
- Submitted by
- Novus Biologicals (provider)
- Main image

- Experimental details
- Immunohistochemistry-Paraffin: PA28 Activator alpha Subunit/PSME1 Antibody (JU60-33) [NBP2-75606] - Analysis of paraffin-embedded human liver cancer tissue using anti-PSME1 antibody. Counter stained with hematoxylin.
- Submitted by
- Novus Biologicals (provider)
- Main image

- Experimental details
- Immunohistochemistry-Paraffin: PA28 Activator alpha Subunit/PSME1 Antibody (JU60-33) [NBP2-75606] - Analysis of paraffin-embedded rat kidney tissue using anti-PSME1 antibody. Counter stained with hematoxylin.